Enlaces accesibilidad

Trasplantan por primera vez una mandíbula artificial creada por una impresora 3D

  • Fue trasplantada en una mujer de 83 años que sufría una grave infección
  • La operación duró cinco veces menos que una intervención tradicional
  • Está creada a partir de polvo de titanio y recubierta con plasma y hueso artificial
xilloc medical - press 6
RTVE.es

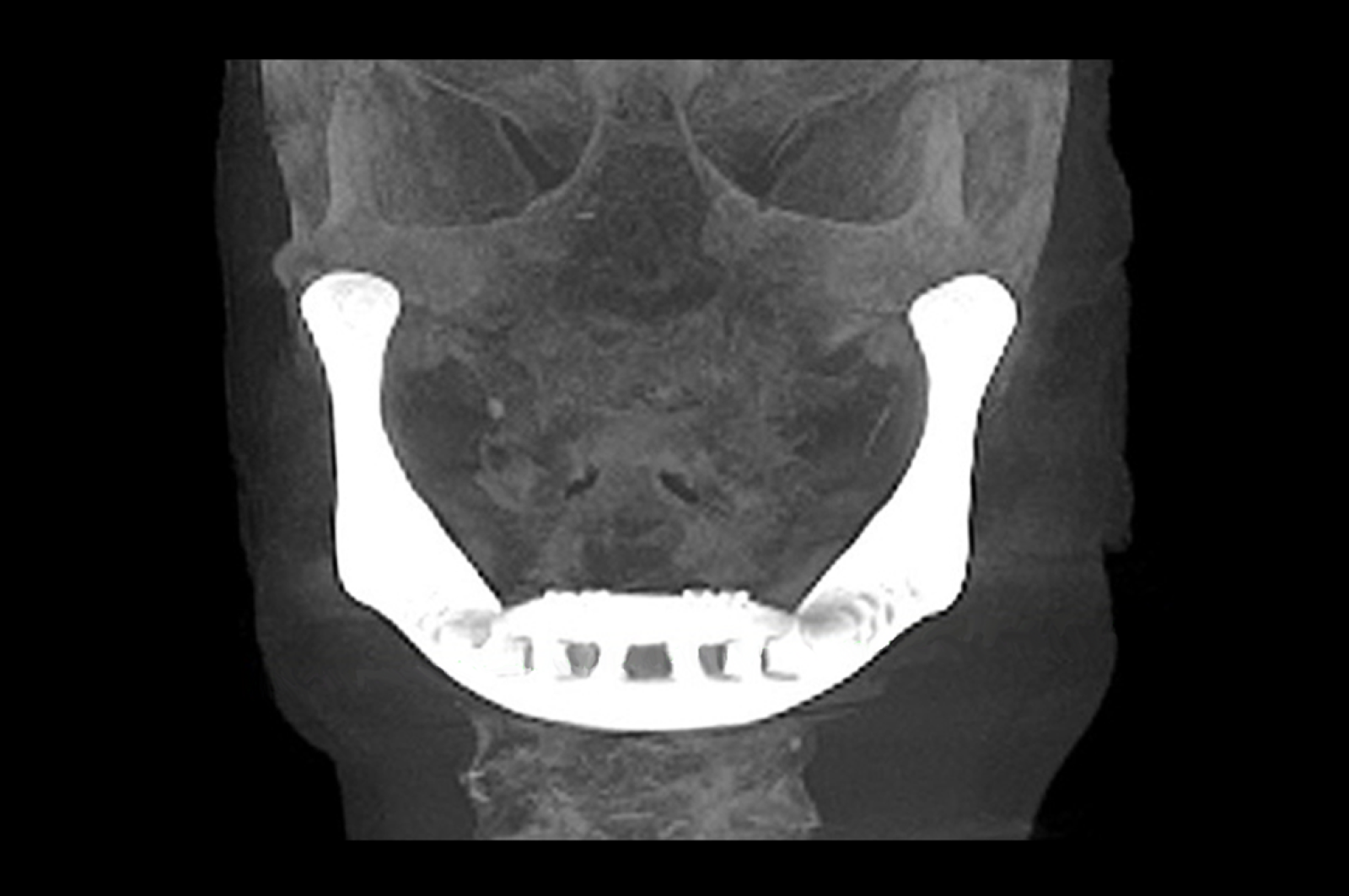
Un equipo de investigadores belgas ha trasplantado, por primera vez, una mandíbula artificial confeccionada a partir de una impresora 3D en el rostro de una mujer de 83 años que padecía una grave infección.

El diseño y la estructura de la mandíbula inferior fueron creados a partir de tecnología 3D. La pieza fue esculpida a partir de polvo de titanio -soldada con láser- que luego se recubrió con plasma y hueso artificial.

Según los expertos del Instituto de Investigación Biomédica de la Universidad de Hasselt, en Bélgica, se trata de la primera vez que se emplea un modelo artificial en tres dimensiones, fabricado a partir de este tipo de impresoras, para reemplazar una parte del cuerpo humano.

La paciente padecía una grave infección de la mandíbula inferior, pero debido a su avanzada edad no podía someterse a una operación de cirugía reconstructiva tradicional que requería más de 20 horas de duración.

Por este motivo, los médicos decidieron realizar el implante de la prótesis artificial fabricada por la compañía holandesa Xilloc Medical BV y solo tardaron cuatro horas, una quinta parte que una operación tradicional.

Tardaron cuatro horas, la quinta parte de una operación tradicional

La paciente, informa la BBC, fue dada de alta a los cuatro días de la intervención. Pero solo un día después de la operación, "fue capaz de recuperar las funciones básicas del órgano: masticar, tragar y hablar", señala el Doctor Julio Poukens, de la Universidad de Hasselt.

Aunque la nueva mandíbula pesa 107 gramos, un tercio más de lo que pesaba anteriormente, los médicos aseguran que la paciente no debería tener problemas para acostumbrarse.

Los responsables han calificado el tratamiento como "una primicia mundial", ya que se trata del "primer implante de un paciente específico al que se le sustituye toda la mandíbula inferior con un órgano artificial creado en 3D".

Según el equipo médico, esta técnica proporciona numerosas ventajas respecto a otros tratamientos como la reconstrucción parcial o la extirpación de la parte dañada del hueso.

Los investigadores señalan que no solo acelera la rapidez de la intervención y acorta los plazos de recuperación de los pacientes, sino que permite que los implantes se ajusten perfectamente y "reducir el coste médico" de este tipo de operaciones.