Enlaces accesibilidad

Más de 3.500 científicos avanzan hacia un "Google Maps" de las células humanas que podría "revolucionar" la sanidad

  • El primer borrador del atlas celular se espera para entre uno o dos años
  • El proyecto en curso Human Cell Atlas se inició en 2016 y participan investigadores de todo el mundo
Científicos avanzan hacia un "Google Maps" de las células humanas
RTVE.es

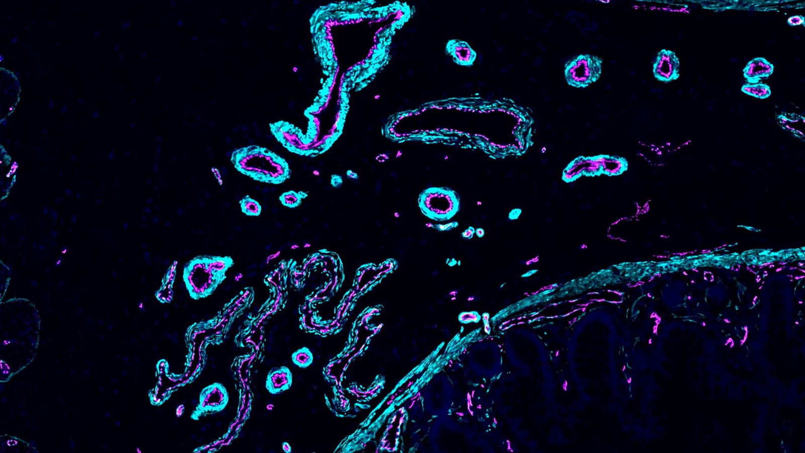
El primer borrador del desarrollo del esqueleto humano conseguirá mapear todos los tipos de células que conforman nuestro cuerpo. Los científicos del proyecto Human Cell Atlas avanzan hacia el objetivo de completar un atlas biológico capaz de comprender mejor la salud humana y diagnosticar y tratar enfermedades.

Aunque este primer borrador se publicará dentro de uno o dos años, el objetivo de quienes trabajan en este proyecto es poder certificar cuál es la función de cada una de las 37 billones de células que componen el cuerpo humano. Desde 2016, 3.600 investigadores de todo el mundo trabajan para "comprender y tratar las enfermedades", según Aviv Regev, copresidente fundador del proyecto. Bajo esta aspiración han investigado la información del desarrollo relativa al esqueleto, la placenta y el intestino.

Los datos publicados en más de 40 nuevos artículos permiten a los investigadores "entrenar modelos básicos, como un ChatGPT para células, que nos ayudan a anotar nuevas células o a buscar una nueva entre las decenas de millones de perfiles", ha explicado Sarah Teichmann, del Instituto de Células Madre de Cambridge y copresidenta fundadora del proyecto. Algo que les ayudará "a establecer conexiones inesperadas, por ejemplo, entre células observadas en enfermedades", ha añadido la científica.

Desde el primer trimestre del embarazo

Para describir todas las células que intervienen en el crecimiento, cartografiaron el esqueleto desde el primer trimestre del embarazo. Gracias a este estudio prematuro del cuerpo humano trazaron un mapa de todas las células críticas para la formación del cuerpo y pudieron concluir con el descubrimiento diferentes mutaciones géticas que derivan en enfermedades como la colitis ulcerosa, artritis o cáncer.

"Aunque el objetivo principal ha sido cartografiar las células del cuerpo humano sano, el proyecto ya ha aportado valiosos conocimientos sobre enfermedades como el cáncer, el COVID-19, la fibrosis quística y enfermedades que afectan al corazón, los pulmones y los intestinos, entre otras", ha dicho Alexandra-Chloe Villani, del Hospital General de Massachusetts y el Instituto Broad del MIT y Harvard, miembro del comité organizador del proyecto.

Comprender la complejidad anatómica humana a nivel celular

Lo que aportan principalmente estudios como este es mostrar "cómo se construyen los tejidos, los órganos y los seres humanos", ha indicado Muzlifah Haniffa, del Instituto Wellcome Sanger y la Universidad de Newcastle, miembro del comité organizador del proyecto. Así, con estos datos, se puede llegar a entender los trastornos del desarrollo, los trastornos infantiles o enfermedades que también afectan a los adultos.

Este es el objetivo con el que nació el consorcio Atlas Celular Humano, con expertos de 102 países, también España, quienes hasta la fecha han colaborado en la elaboración de perfiles de más de 100 millones de células de más de 10.000 personas.