Atlas de las células humanas - Telediario 2 | Ver
Telediario 2  Científicos avanzan hacia un "Google Maps" de las células humanas

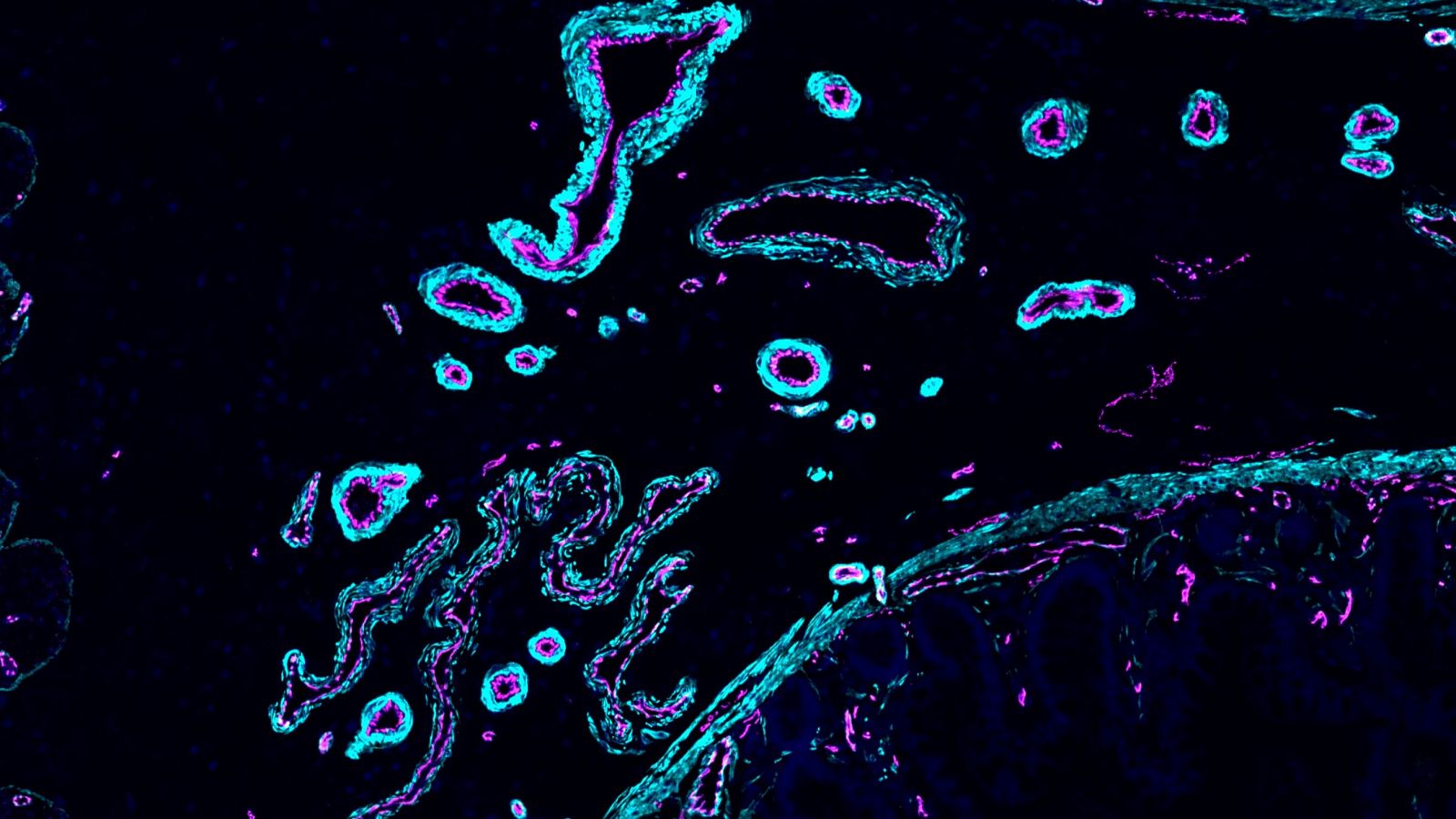
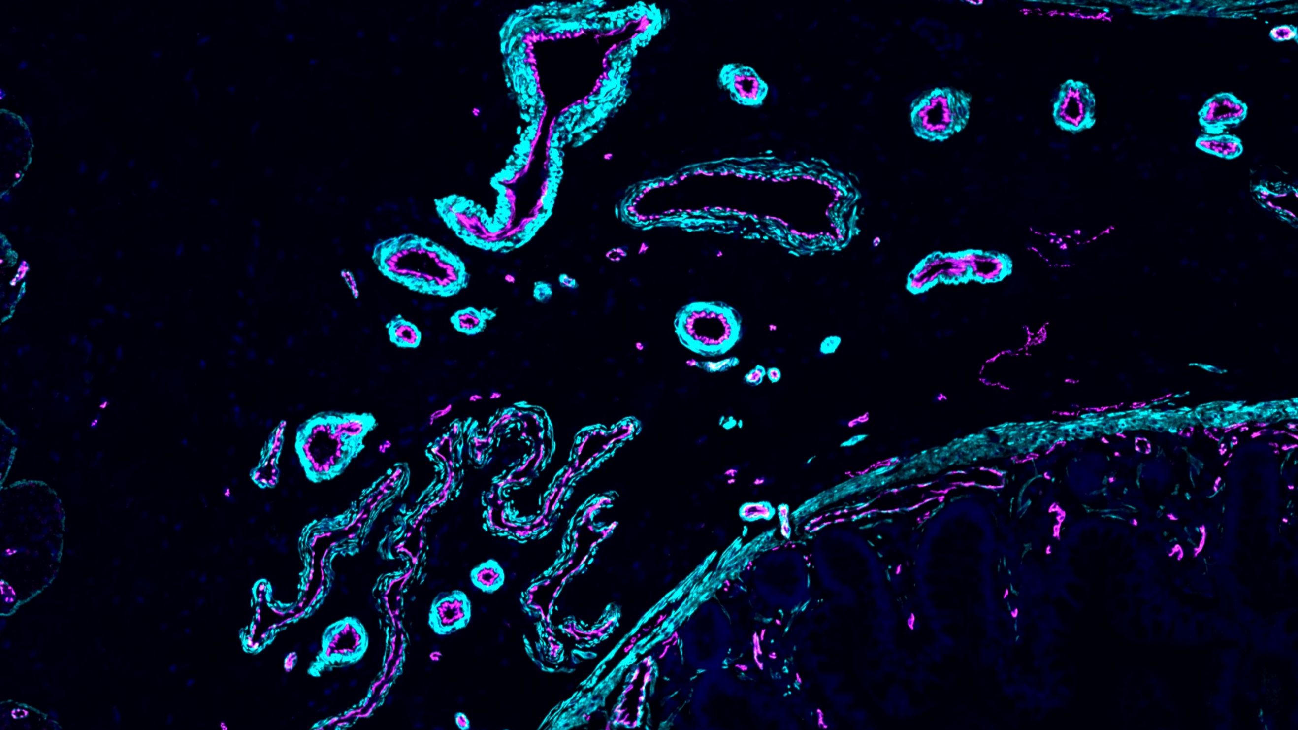
Podría tratarse de una obra de arte, pero cada forma y cada color guardan información de lo que se ve a simple vista. Más de 3.500 científicos...

20/11/2024 00:01:17
Recomendable para todos los públicos
Telediario 2 - Científicos avanzan hacia un "Google Maps" de las células humanas Telediario 2 - Científicos avanzan hacia un "Google Maps" de las células humanas
Científicos avanzan hacia un "Google Maps" de las células humanas 00:01:17 20/11/2024
Recomendable para todos los públicos Sub VO
Sinopsis

Podría tratarse de una obra de arte, pero cada forma y cada color guardan información de lo que se ve a simple vista. Más de 3.500 científicos avanzan hacia un "Google Maps" de las células humanas que podría "revolucionar" la sanidad. Esta tarea se enmarca en el proyecto Human Cell Atlas, que se inició en 2016 y en el que participan investigadores de todo el mundo.

El primer borrador del atlas celular se espera para dentro de 1-2 años.

Ficha técnica
Géneros
Información y actualidad
Idiomas
Castellano
Accesibilidad
Subtitulado