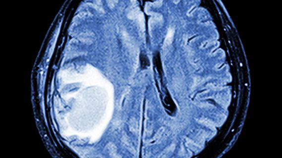
España vuelta y vuelta   Un nuevo sistema para operar tumores cerebrales 09/06/2016 25:05

Nos interesamos por un nuevo sistema para operar tumores cerebrales considerados inoperables porque afectan a áreas funcionales. Nos los explica el doctor Juan Antonio Barcia, jefe del servicio de Neurocirugía del hospital Clínico San Carlos de Madrid, que lidera el equipo que ha probado con éxito este innovador (09/06/16).

España vuelta y vuelta
Más opciones