Enlaces accesibilidad

Las experiencias religiosas activan los circuitos de recompensa del cerebro

  • La vivencia espiritual excita las rutas neuronales de placer y refuerzo positivo
  • Actúan zonas asociadas con las gratificaciones, como el núcleo accumbens
Una cruz cristiana en el interior de una iglesia
SINC

Al igual que el amor, el sexo, el juego, las drogas y la música encienden el circuito de recompensa del cerebro, las experiencias religiosas también lo pueden activar, según señala el estudio que científicos de la Escuela de Medicina de la Universidad de Utah, en Salt Lake City (Estados Unidos), publican esta semana en la revista Social Neuroscience. El circuito de recompensa es un grupo de estructuras neuronales de nuestro cerebro, relacionado con el deseo, el placer y el refuerzo positivo.

"Apenas estamos empezando a comprender cómo el cerebro participa en las experiencias que los creyentes interpretan como espirituales, divinas o trascendentes", explica Jeff Anderson, coautor del trabajo, quien destaca que en los últimos años “las tecnologías de imagen cerebral han avanzado de tal forma que nos podemos acercar a interrogantes que existen desde hace milenios”.

En concreto, los investigadores se propusieron determinar qué redes neuronales intervienen en la representación de los sentimientos espirituales, y para ello eligieron a un grupo de devotos mormones a los que sometió a una serie de estímulos religiosos.

Un experimento con un grupo de mormones

"Cada sujeto había sido entrenado entre 1,5 y 2 años para poder identificar su ‘sentimiento del Espiritu`` en sí mismos y enseñar esto a otros", explica Anderson a la agencia Sinc. "En la práctica y la teología mormonas, esos sentimientos tienen gran importancia, ya que son el medio primario para comunicarse con Dios, una parte fundamental en la toma de decisiones vitales y un refuerzo para su fe".

Se seleccionó un total de 19 sujetos -siete mujeres y 12 hombres-, cuyo cerebro fue monitorizado mientras realizaban diversas tareas, como visualizar vídeos sobre su iglesia, escuchar las citas de diversos líderes religiosos, rezar, leer pasajes bíblicos o recibir otros estímulos audiovisuales.

El método aplicado para el análisis fue la técnica de imagen por resonancia magnética funcional (IRMf), un procedimiento clínico y de investigación que permite visualizar las regiones cerebrales que ejecutan una determinada tarea.

Durante las pruebas, los participantes eran interrogados para ver si ‘sentían el espíritu’. Podían responder a través de una escala que iba desde ‘no sentirlo’ hasta ‘sentirlo fuertemente’, e incluso tenían un botón para marcar cuando sentían un pico de intensidad espiritual.

Activación del núcleo accumbens

Los investigadores recopilaron las evaluaciones detalladas de los sentimientos manifestados por los participantes, que identificaron estas emociones como similares a las que sentían durante una sesión del culto. Describían sensaciones de paz, de calor e incluso llegaban a llorar de emoción en algunos casos.

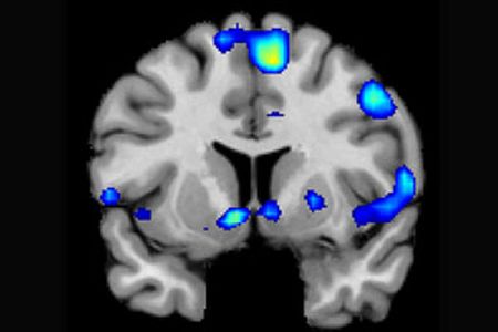
Diversas áreas del cerebro, activas durante la experiencia religiosa de los participantes.

Diversas áreas del cerebro, activas durante la experiencia religiosa de los participantes. SINC

"Cuando se les indicó que pensaran en un salvador, en estar con sus familias eternamente y las recompensas celestiales, sus cerebros y cuerpos dieron una respuesta física", explica el doctor Michael Ferguson, bioingeniero que dirigió el estudio en la Universidad de Utah.

Basándose en las imágenes del IRMf , los científicos descubrieron que los sentimientos espirituales intensos se asocian con la activación del núcleo accumbens, un grupo de neuronas del encéfalo a las que se atribuye una función importante en el placer y el sistema de recompensa.

Conformado por un grupo de neuronas y componente del denominado estriado ventral, dicho núcleo forma parte del cuerpo estriado y es fundamental para el sistema de recompensa.

Un pico de intensidad espiritual

El pico de intensidad, acompañado de un mayor ritmo cardíaco y respiratorio, ocurría entre uno y tres segundos antes de apretar el botón y este patrón se repetía para las diversas tareas.

Aparte de las redes neuronales ligadas al sistema de recompensa, también se descubrió que los sentimientos espirituales se asocian a la corteza prefrontal media (una zona cerebral que se activa por acciones relacionadas con valoraciones, juicios y razonamiento moral) y otras regiones del cerebro asociadas a la atención focalizada.

"La experiencia religiosa es quizá la parte que más influye sobre cómo la gente toma decisiones que nos afectan a todos, para bien y para mal. Entender lo que sucede en el cerebro para contribuir a estas decisiones es realmente importante", destaca Anderson, aunque reconoce que todavía no sabemos si los creyentes de otras religiones responderían de la misma manera.

Respuestas diferentes ante la meditación

Investigaciones realizadas por otros expertos muestran que el cerebro responde de manera diferente ante prácticas contemplativas y de meditación, características de algunas religiones orientales, pero hasta ahora se tenía pocos conocimientos neurocientíficos sobre la espiritualidad en Occidente.

"Hay diferencias y similitudes entre nuestros resultados y los estudios sobre meditación, pero en ambos casos muestran el papel que tienen las las regiones cerebrales asociadas con la atención", señala Anderson, "aunque la activación del sistema de recompensa es mucho más destacado en nuestro trabajo". Puede que este circuito tenga una función en la meditación, pero podría ser más difícil y laborioso de identificar, añade.

Este estudio es la primera iniciativa del Religious Brain Project, un proyecto impulsado desde la Universidad de Utah orientado a entender cómo funciona el cerebro en personas con creencias religiosas o espirituales profundas.