tres14 - Curiosidades científicas - Coeficiente intelectual
tres14  Coeficiente intelectual

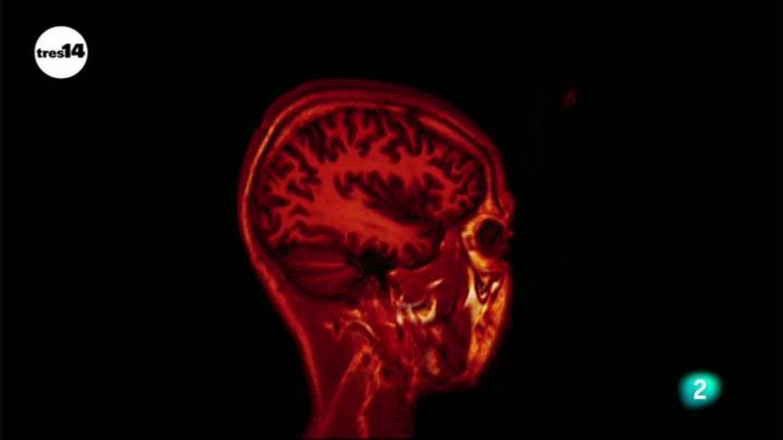
El cociente intelectual varía con los años. Esa es la conclusión a la que han llegado un grupo de investigadores ingleses tras un estudio realizado...

12/02/2012 00:00:44
Recomendable para todos los públicos
tres14 - Coeficiente intelectual tres14 - Coeficiente intelectual
Coeficiente intelectual 00:00:44 12/02/2012
Recomendable para todos los públicos
Sinopsis

El cociente intelectual varía con los años. Esa es la conclusión a la que han llegado un grupo de investigadores ingleses tras un estudio realizado con adolescentes de 12 a 16 años a los que les realizaron un escáner cerebral y un test de inteligencia. 4 años después repitieron las pruebas y vieron diferencias importantes en la estructura del cerebro y en los coeficientes de inteligencia. Unos mejoraron y otros empeoraron¿, pero en general los cerebros de todos cambiaron. Hasta ahora, el resultado que sacamos en los test de inteligencia nos definían de por vida. Ahora sabemos que somos mucho más que un número.

Ficha técnica
Géneros
Ciencia y futuro
Idiomas
Castellano