Sanidad eleva a 51 el número de positivos por viruela mono | Ver
Telediario 2  El Ministerio de Sanidad eleva a 51 los positivos por viruela del mono

En España ya hay 51 positivos, 47 en Madrid que para acabar con la transmisión pide acelerar la compra de la vacuna danesa. Sin embargo, desde el...

24/05/2022 00:02:50
Recomendable para todos los públicos
Telediario 2 - El Ministerio de Sanidad eleva a 51 los positivos por viruela del mono Telediario 2 - El Ministerio de Sanidad eleva a 51 los positivos por viruela del mono
El Ministerio de Sanidad eleva a 51 los positivos por viruela del mono 00:02:50 24/05/2022
Recomendable para todos los públicos VO
Sinopsis

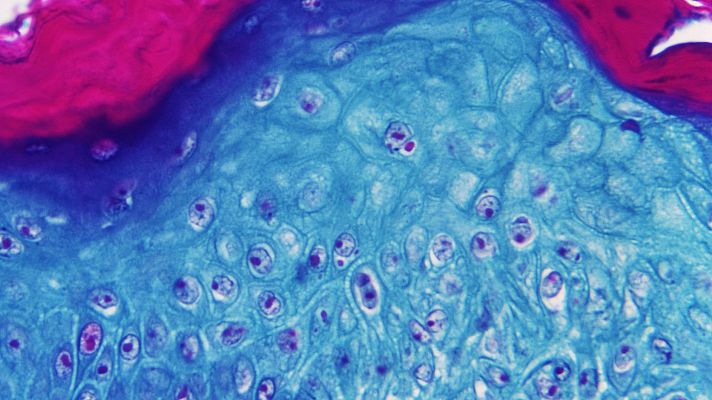
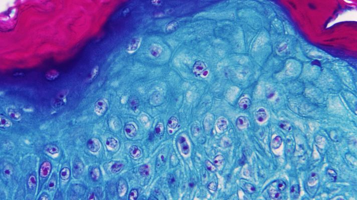
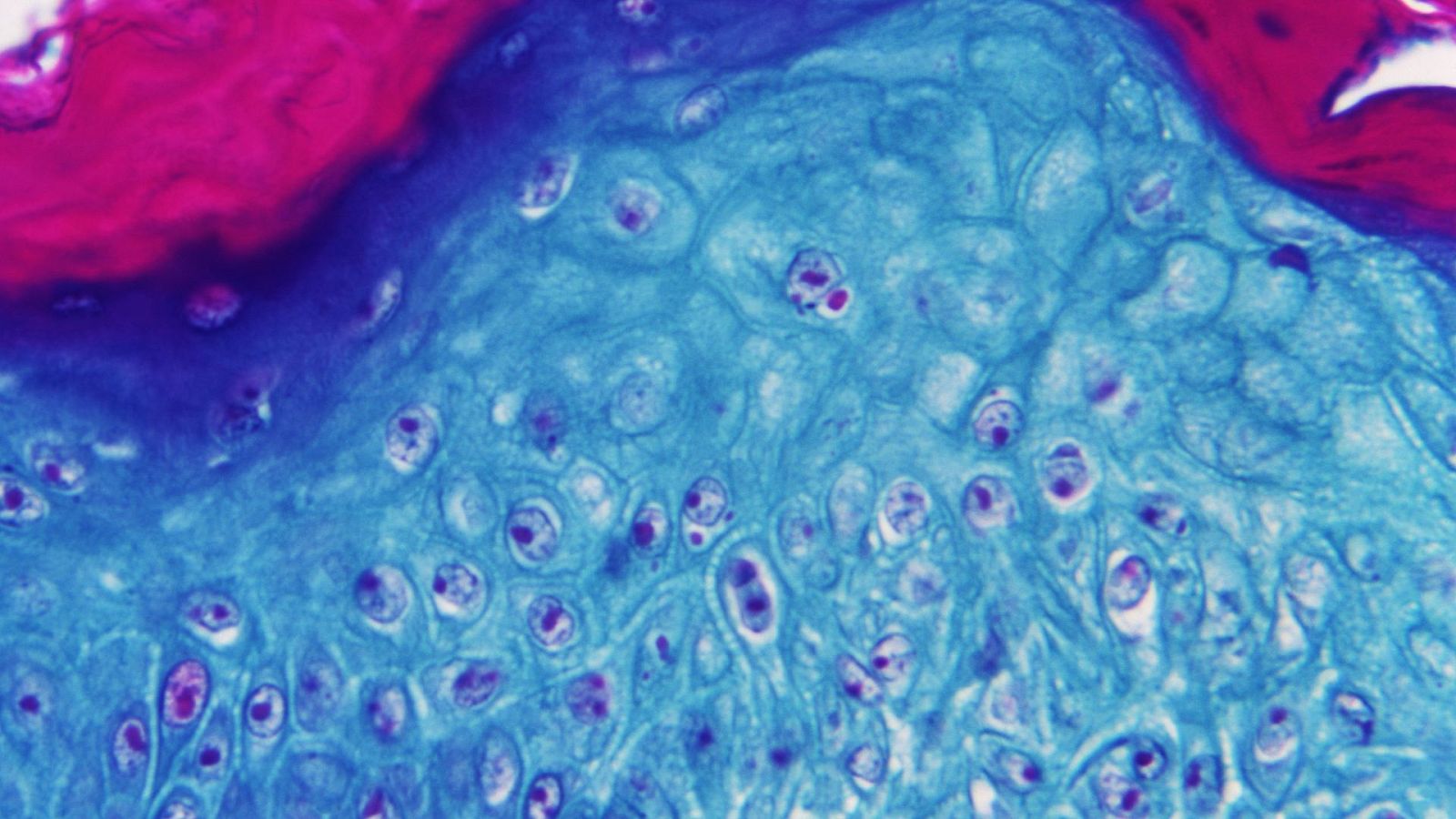
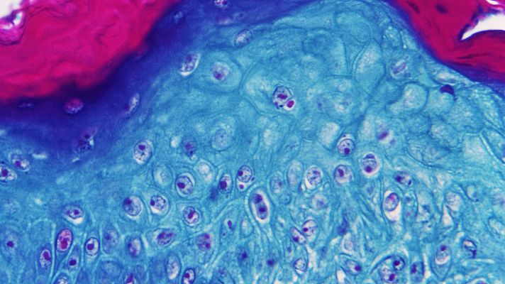
En España ya hay 51 positivos, 47 en Madrid que para acabar con la transmisión pide acelerar la compra de la vacuna danesa. Sin embargo, desde el Gobierno todavía no han confirmado esta compra y recomiendan para cortar la transmisión, el aislamiento de los positivos y también con respecto a las mascotas. Entre todos los países no endémicos, la OMS ya suma 131 positivos en viruela del mono. Y aunque consideran que la transmisión entre la población general es baja, reconocen que el brote no es normal.

Ficha técnica
Géneros
Información y actualidad
Idiomas
Castellano