La vacuna tradicional, una aliada contra la viruela del mono | Ver
Telediario 1  La vacuna tradicional, una aliada contra la viruela del mono

Aumentan los casos de viruela del mono en varios países, aunque España es, de momento, el más afectado. La comunidad de Madrid, la que más casos...

20/05/2022 00:01:25
No recomendable para menores de 7 años
Telediario 1 - La vacuna tradicional, una aliada contra la viruela del mono Telediario 1 - La vacuna tradicional, una aliada contra la viruela del mono
La vacuna tradicional, una aliada contra la viruela del mono 00:01:25 20/05/2022
No recomendable para menores de 7 años VO
Sinopsis

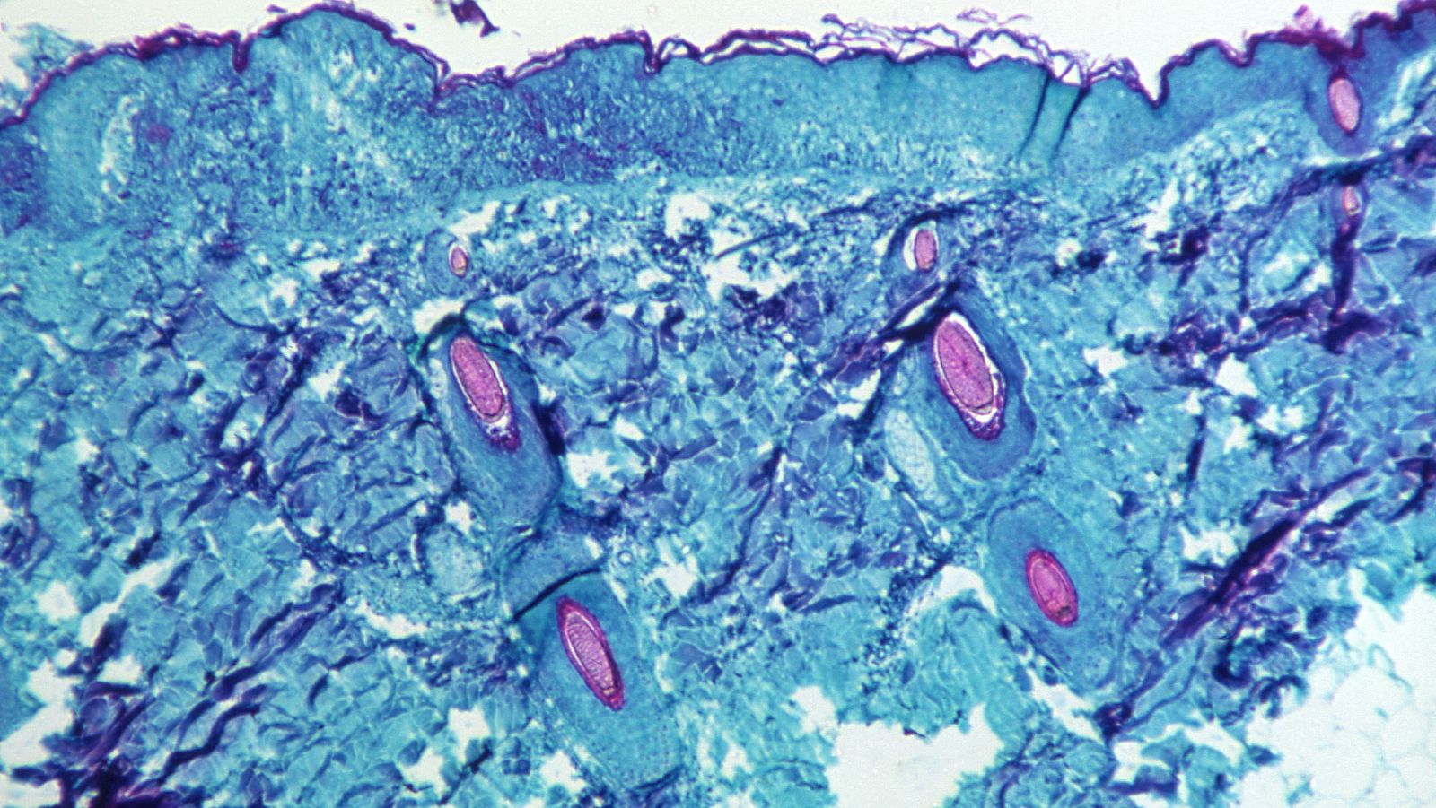
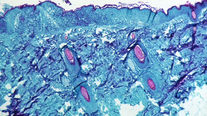
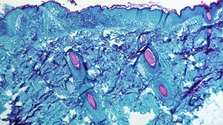
Aumentan los casos de viruela del mono en varios países, aunque España es, de momento, el más afectado. La comunidad de Madrid, la que más casos tiene hasta ahora, tienen la vista puesta en una vacuna. Se llama Imvanex y es de una compañía danesa.

El tratamiento de la viruela del mono se centra principalmente en el alivio de los síntomas, ya que no existe vacuna ni medicación para hacer frente a la infección. Sin embargo,  la vacuna contra la viruela tradicional, que lleva décadas sin administrarse debido a la erradicación del virus, presenta unos niveles de eficacia muy altos. Las autoridades sanitarias españolas barajan la compra de una de estas vacunas de segunda generación, que son una versión mejorada de la de la viruela. En todo caso, recalcan que no se procedería a una vacunación masiva, sino únicamente a contactos cercanos.

Ficha técnica
Géneros
Información y actualidad
Idiomas
Castellano