Telediario 1
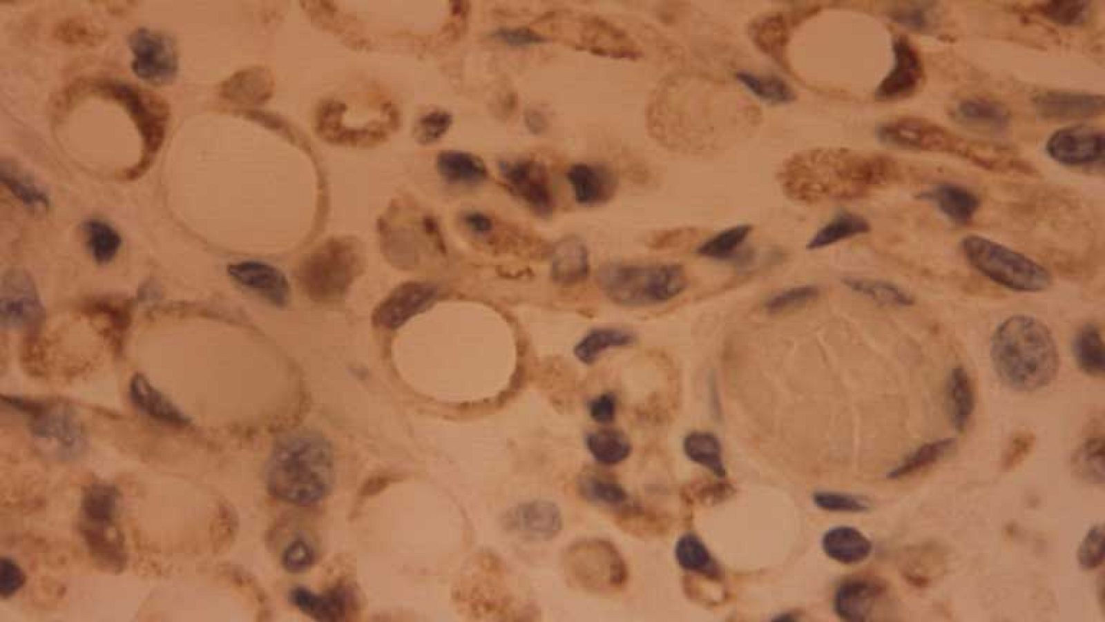
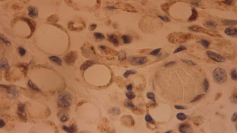
Combatir la grasa en vez del tumor
Para ello no combaten el tumor sino la grasa del cuerpo. Es la sorprendente investigación, que se está realizando en Madrid y que abre una puerta a...
18/07/2014 00:01:18