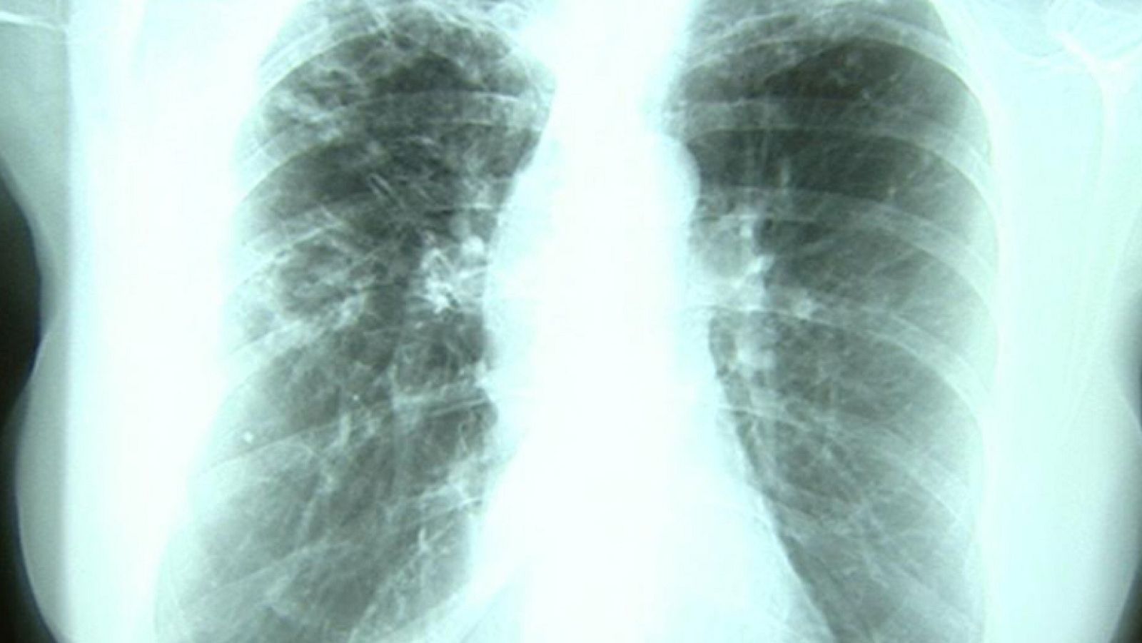
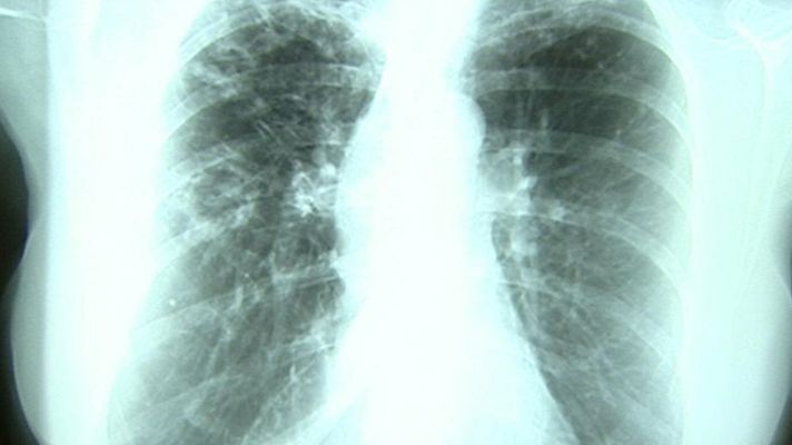
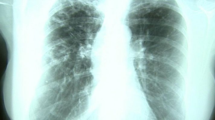
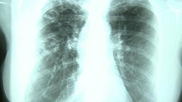
Día Mundial de la Tuberculosis, una enfermedad contagiosa por vía aérea
Telediario 1  Día mundial de la Tuberculosis

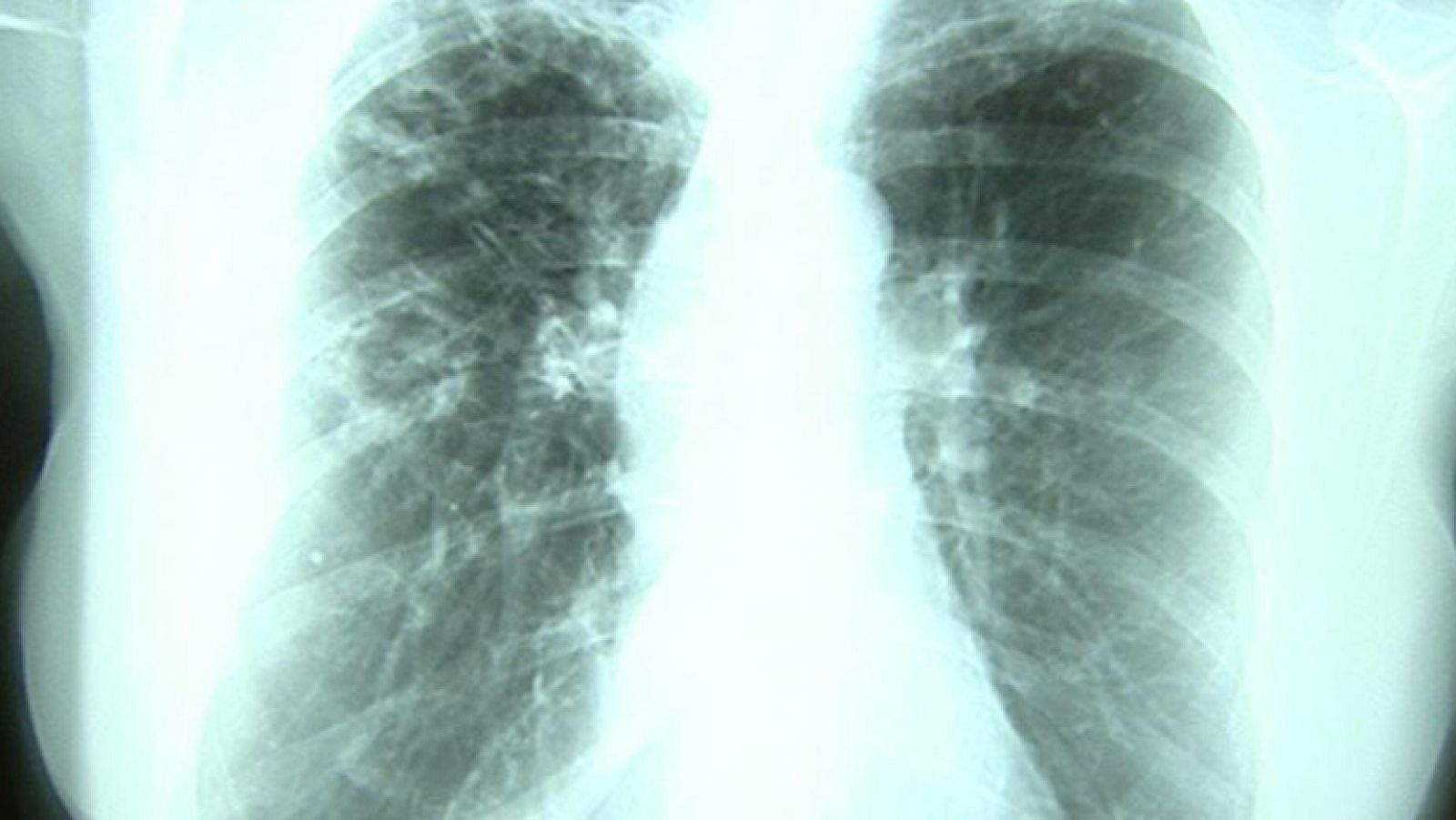
Hoy es el día Mundial de la Tuberculosis, una enfermedad contagiosa por vía aérea que afecta, sobre todo a los pulmones. En España, los emigrantes,...

24/03/2012 00:01:43
No recomendable para menores de 7 años
Telediario 1 - Día mundial de la Tuberculosis Telediario 1 - Día mundial de la Tuberculosis
Día mundial de la Tuberculosis 00:01:43 24/03/2012
No recomendable para menores de 7 años
Sinopsis

Hoy es el día Mundial de la Tuberculosis, una enfermedad contagiosa por vía aérea que afecta, sobre todo a los pulmones. En España, los emigrantes, seropositivos, diabéticos o fumadores son los grupos más sensibles. Un tercio de la población mundial está infectada.

Ficha técnica
Géneros
Información y actualidad
Idiomas
Castellano