Demuestran la eficacia de un fármaco contra los glioblastomas
Telediario 1  Demuestran la eficacia de un fármaco contra los glioblastoma

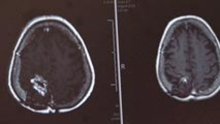
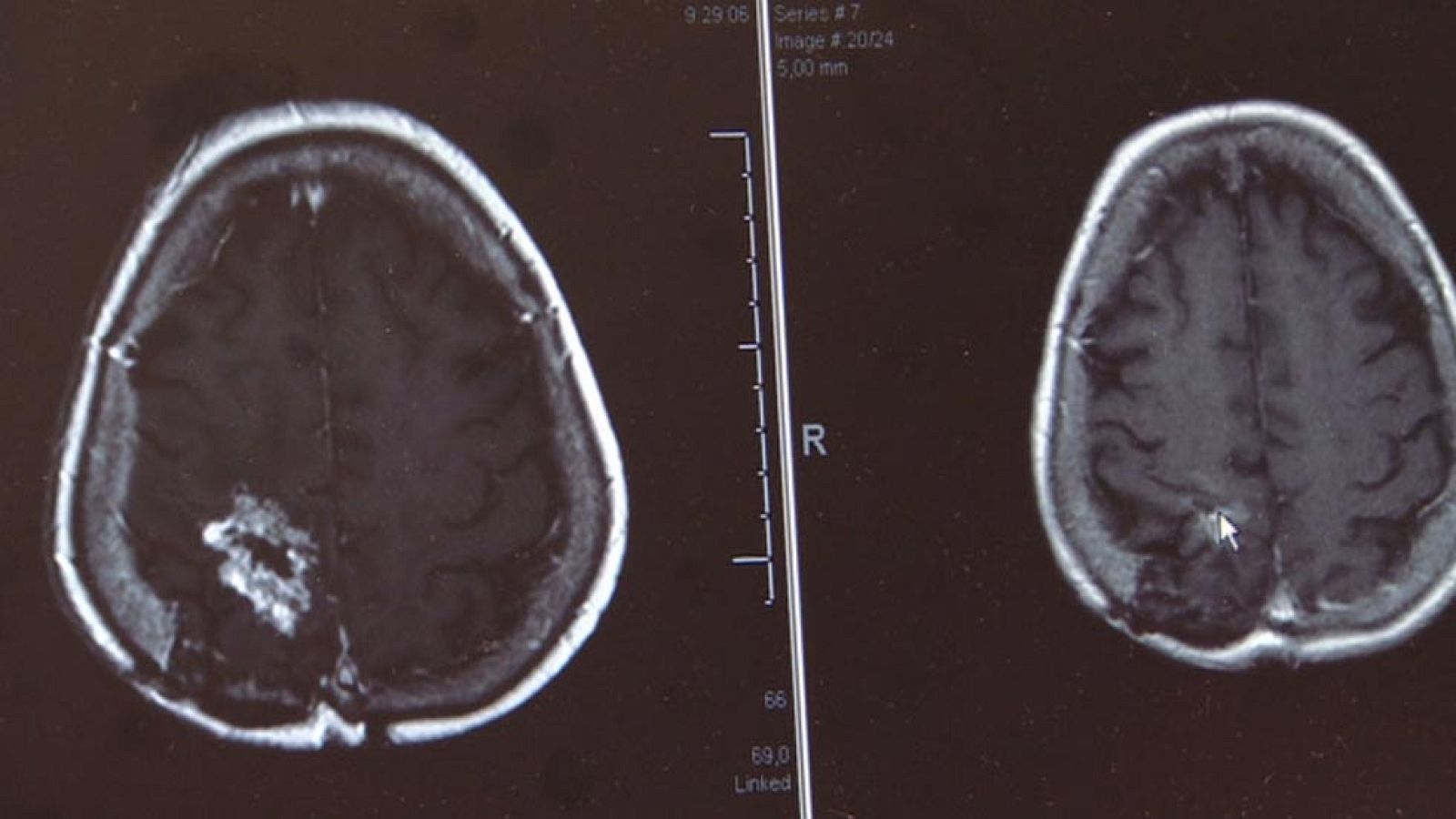
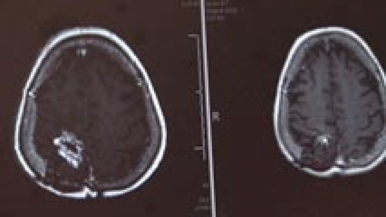
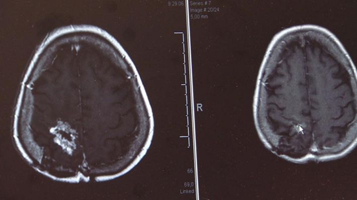
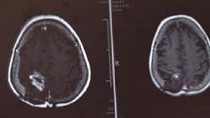
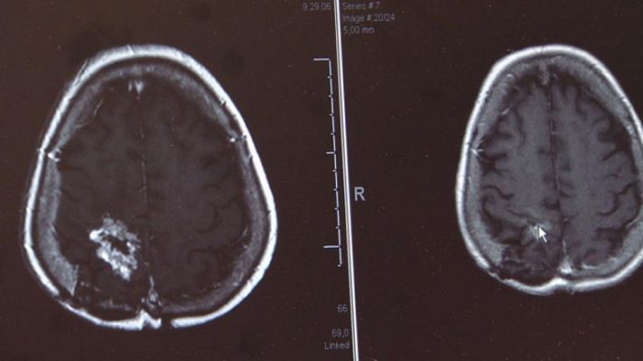
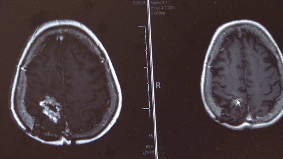
Un estudio español ha demostrado la eficacia de un fármaco contra los glioblastomas, el segundo tumor más agresivo tras el de páncreas y que afecta...

Disponible hasta: 25-06-2115

19/07/2015 00:01:05
No recomendable para menores de 7 años
Telediario 1 - Demuestran la eficacia de un fármaco contra los glioblastoma Telediario 1 - Demuestran la eficacia de un fármaco contra los glioblastoma
Demuestran la eficacia de un fármaco contra los glioblastoma 00:01:05 19/07/2015

Disponible hasta: 25-06-2115 21:37:00

No recomendable para menores de 7 años
Sinopsis

Un estudio español ha demostrado la eficacia de un fármaco contra los glioblastomas, el segundo tumor más agresivo tras el de páncreas y que afecta a uno de cada 100 mil habitantes. En algunos casos, el tratamiento logró reducir el tumor hasta un 85%.

Ficha técnica
Géneros
Información y actualidad
Idiomas
Castellano