Aumenta la incidencia del ictus en pacientes jóvenes
Telediario 1  Aumenta la incidencia del ictus en pacientes jóvenes

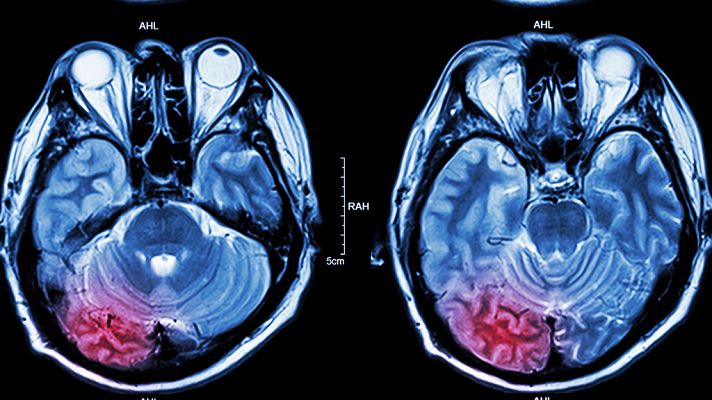
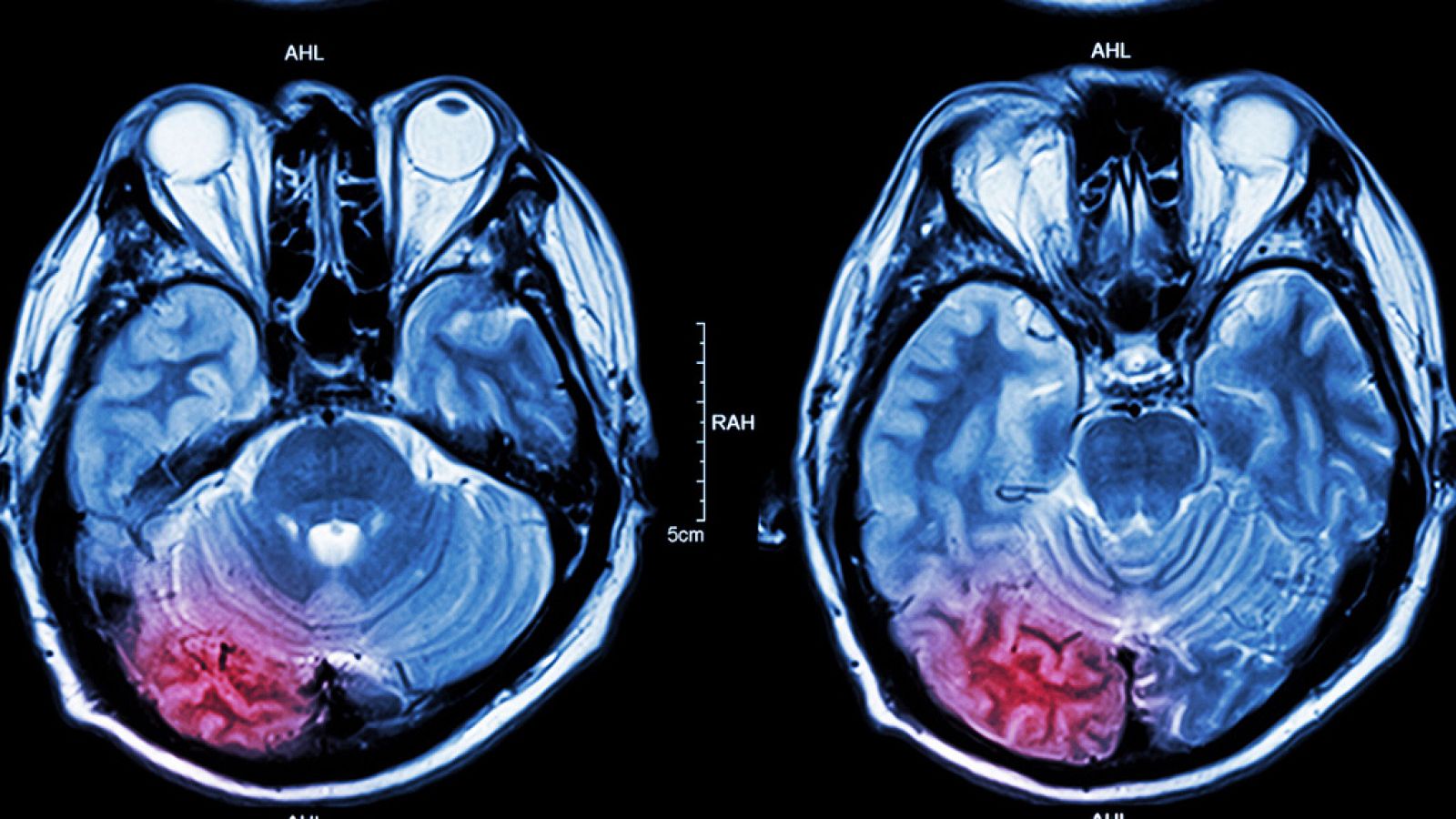
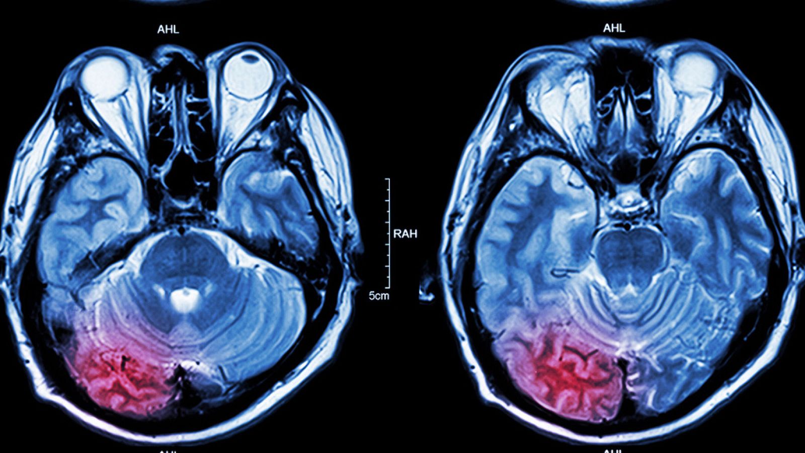
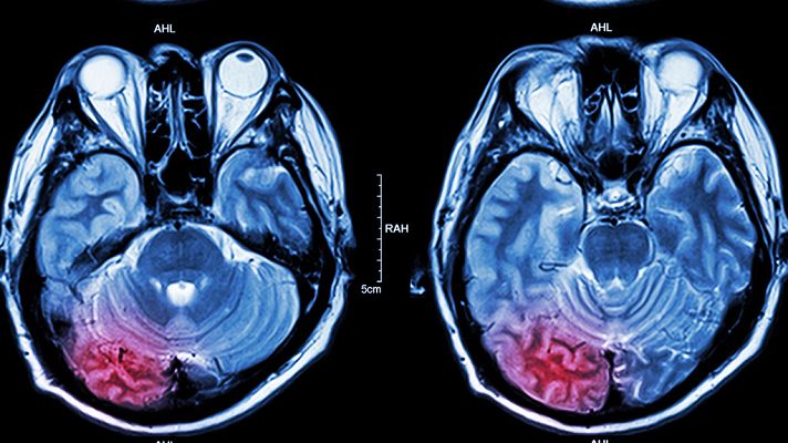
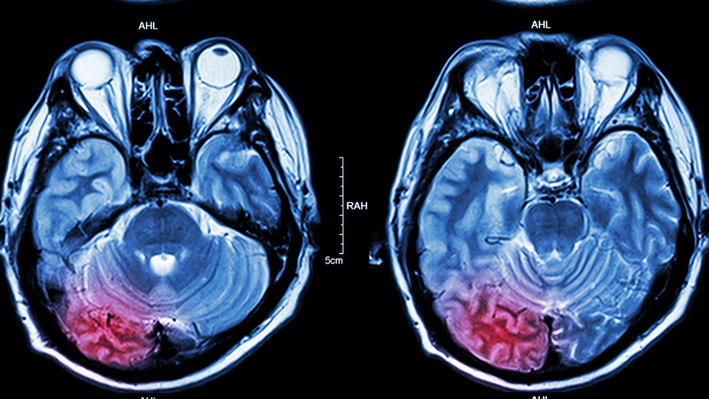
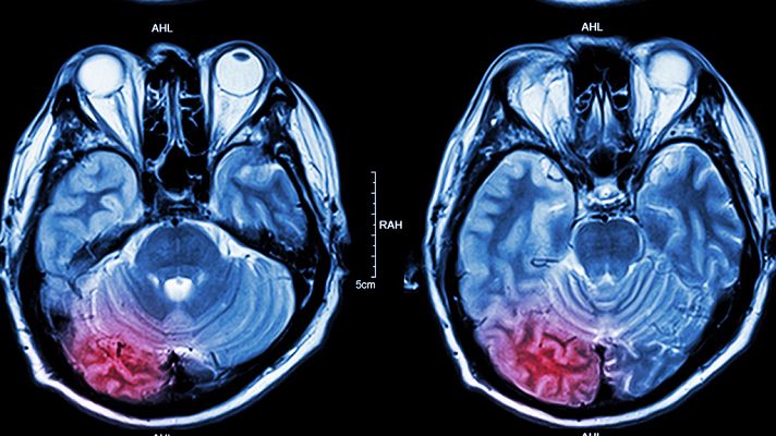
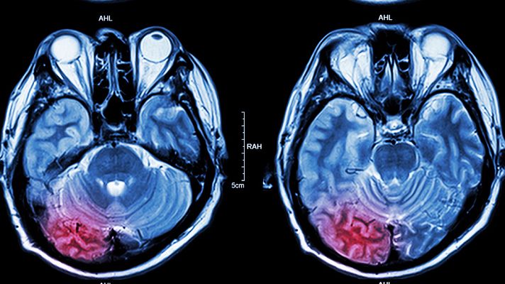
El ictus es la segunda causa de muerte en España. Y aunque se asocia a la tercera edad, cada vez más afecta a gente más joven. En los últimos diez...

Disponible hasta: 19-09-2116

13/10/2016 00:01:27
No recomendable para menores de 7 años
Telediario 1 - Aumenta la incidencia del ictus en pacientes jóvenes Telediario 1 - Aumenta la incidencia del ictus en pacientes jóvenes
Aumenta la incidencia del ictus en pacientes jóvenes 00:01:27 13/10/2016

Disponible hasta: 19-09-2116 15:39:00

No recomendable para menores de 7 años
Sinopsis

El ictus es la segunda causa de muerte en España. Y aunque se asocia a la tercera edad, cada vez más afecta a gente más joven. En los últimos diez años, el número de pacientes de ictus de entre 25 y 44 años se ha incrementado un 43%. Un hecho que tiene que ver con los hábitos de vida.

Ficha técnica
Géneros
Información y actualidad
Idiomas
Castellano