La medicina de precisió acorrala el càncer
L'Informatiu  La medicina de precisió acorrala el càncer

Una de les branques de l'oncologia que més ha avançat els últims 20 anys és la que ha permès desenvolupar tractaments personalitzats

04/02/2023 00:01:29
L'Informatiu - La medicina de precisió acorrala el càncer L'Informatiu - La medicina de precisió acorrala el càncer
La medicina de precisió acorrala el càncer 00:01:29 04/02/2023
Sinopsi

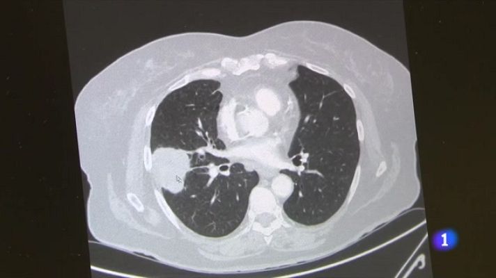
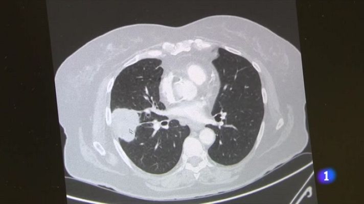
El càncer del pulmó és el segon en mortalitat entre les dones i el tercer en incidència en homes. Aquest tumor és un dels més indicats per aplicar el que s'anomena medicina de precisió, és a dir, el desenvolupament de tractaments personalitzats en funció de les característiques genètiques dels pacients.

L'objectiu dels tractament amb immunoteràpia i les combinacions de nous fàrmacs com a alternativa a la quimioteràpia és que les defenses del cos aconsegueixin identificar el tumor i aprendre a eliminar-lo gairebé sense efectes secundaris.

El tabac és la causa del 20% de les morts per càncer. Portar un estil de vida saludable evitaria, segons els especialistes, un terç dels tumors. Tot i que l'índex de supervivència cada cop és més alt, la malaltia és cada dia més freqüent. Els investigadors calculen que un de cada dos homes i una de cada 3 dones patiran càncer al llarg de la seva vida.

Fitxa tècnica
Gèneres
Catalunya
Idiomes
Catalán