L'Informatiu de la Comunitat Valenciana 1 - 17/10/24 | Ver
L'informatiu - Comunitat Valenciana  L'Informatiu de la Comunitat Valenciana 1 - 17/10/24

L'Informatiu de la Comunitat Valenciana 1 - 17/10/24

17/10/2024 00:11:57
Recomendable para todos los públicos
L'informatiu - Comunitat Valenciana - L'Informatiu de la Comunitat Valenciana 1 - 17/10/24 L'informatiu - Comunitat Valenciana - L'Informatiu de la Comunitat Valenciana 1 - 17/10/24
L'Informatiu de la Comunitat Valenciana 1 - 17/10/24 00:11:57 17/10/2024
Recomendable para todos los públicos Sub
Sinopsis

-Creix la població a la Comunitat en risc de pobresa. En 2023, quasi el 30% dels valencians, dos punts més que l'any anterior, 140 mil persones més, estaven en risc de probresa. 

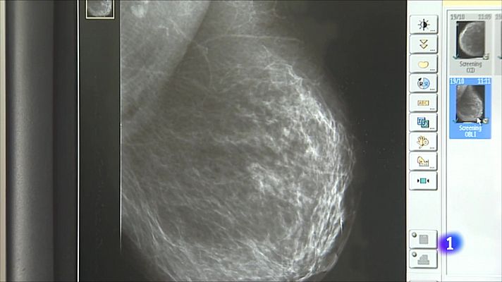
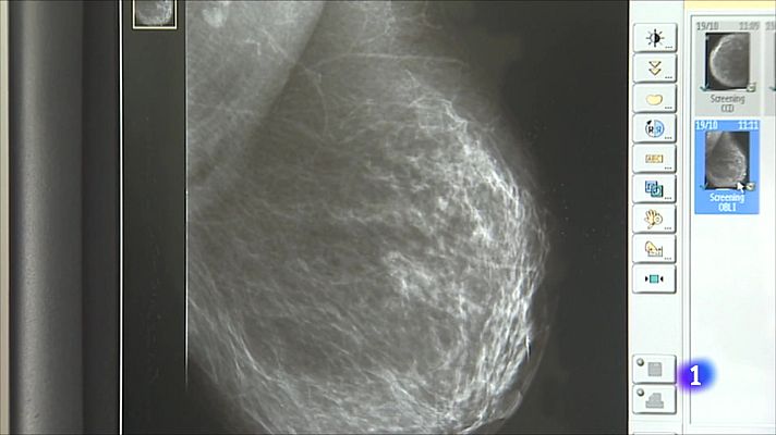
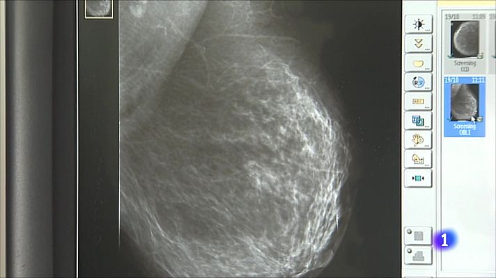
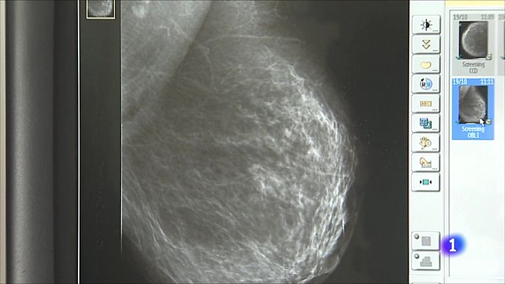
-La prevalència mitjana del càncer de mama és de quasi 16.500 casos a la Comunitat Valenciana. Gràcies al diagnòstic preçoç i a la millora dels tractaments, s'ha aconseguit una supervivència del 85% als 5 anys.

-Una empresa tecnològica que va nàixer fa 22 anys a Almassora és coneguda com l'Amazon de Castelló. El que va començar en un xicotet local, ja compta amb tres milions d'euros de facturació i pròximament farà el salt internacional.

Ficha técnica
Dirigido por
Carlos Conde, Carolina Salvador
Géneros
Información y actualidad
Idiomas
Castellano
Accesibilidad
Subtitulado