Lab24 - Exclusivamente Alzheimer y Climatizar en el Ártico - ver ahora
Lab24  Exclusivamente Alzheimer y Climatizar en el Ártico

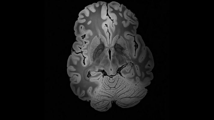
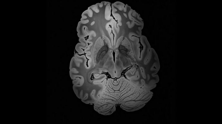
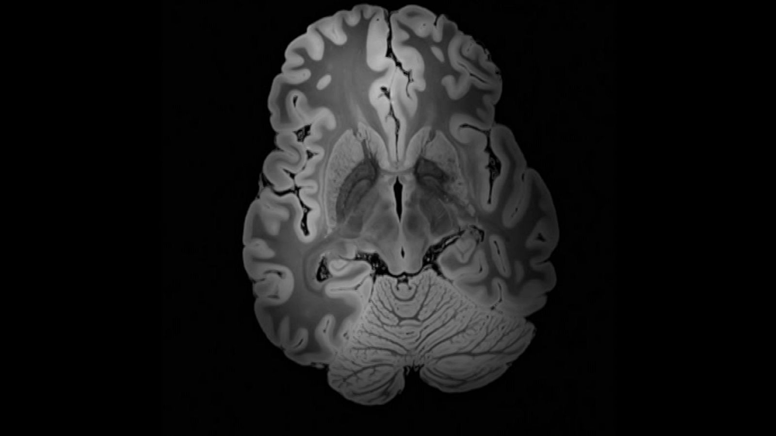
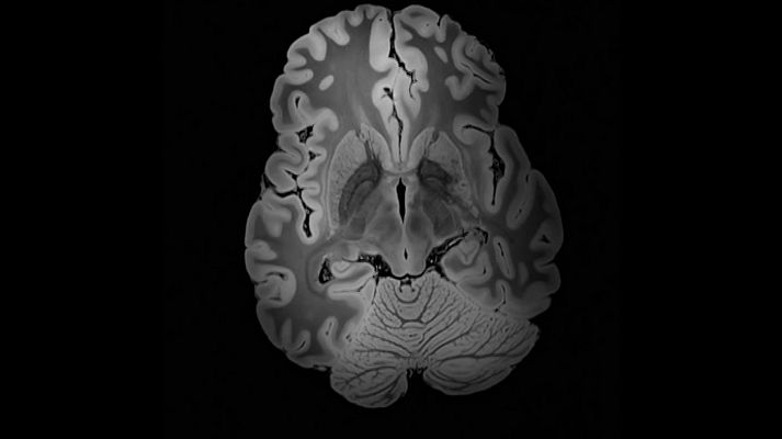
El Barcelona Beta Brain Research Center de la Fundación Pasqual Maragall es un centro dedicado a la investigación del Alzheimer. Miles de personas...

08/10/2019 00:28:52
No recomendable para menores de 7 años
Lab24 - Exclusivamente Alzheimer y Climatizar en el Ártico Lab24 - Exclusivamente Alzheimer y Climatizar en el Ártico
Exclusivamente Alzheimer y Climatizar en el Ártico 00:28:52 08/10/2019
No recomendable para menores de 7 años Sub
Sinopsis

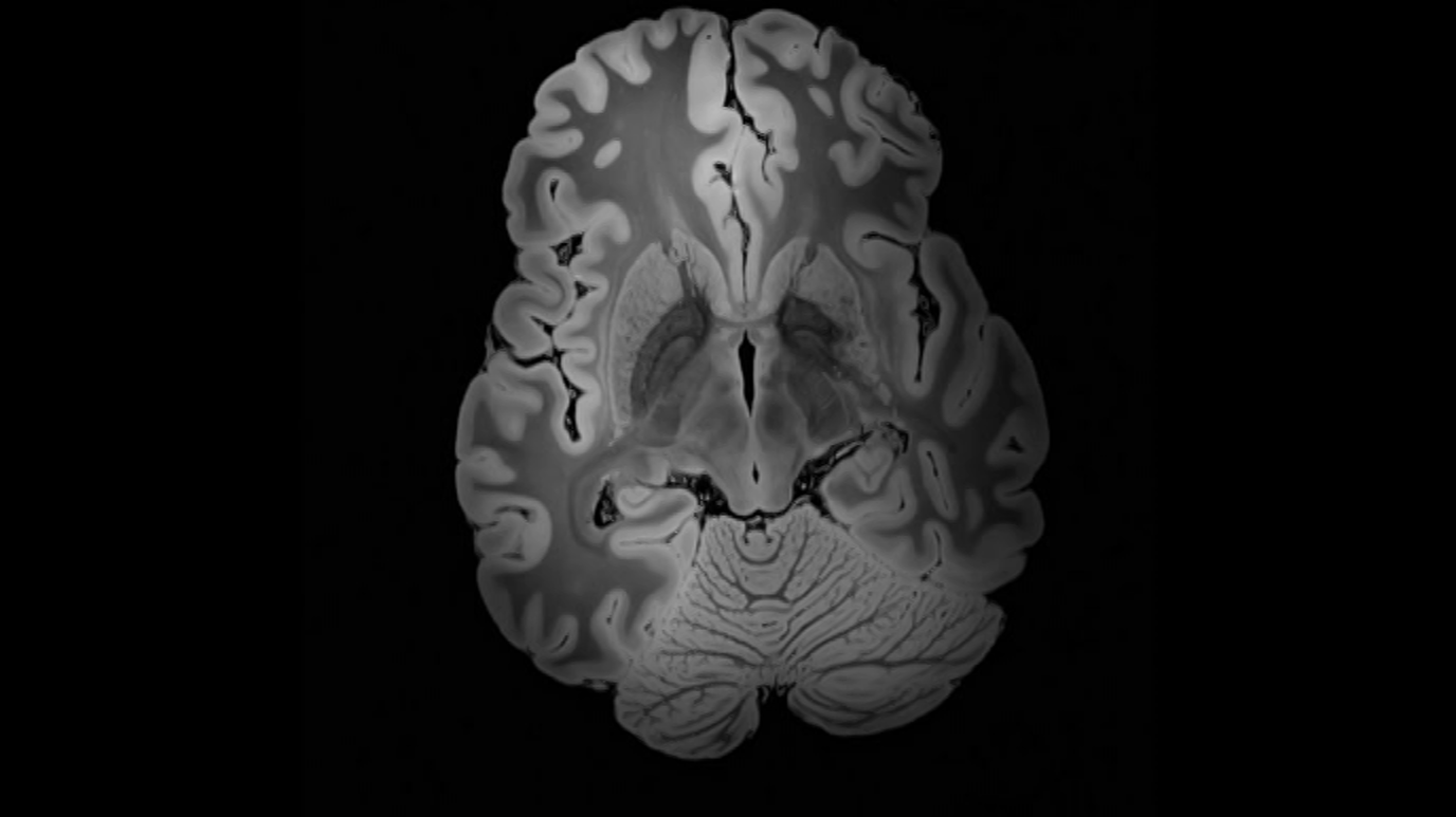
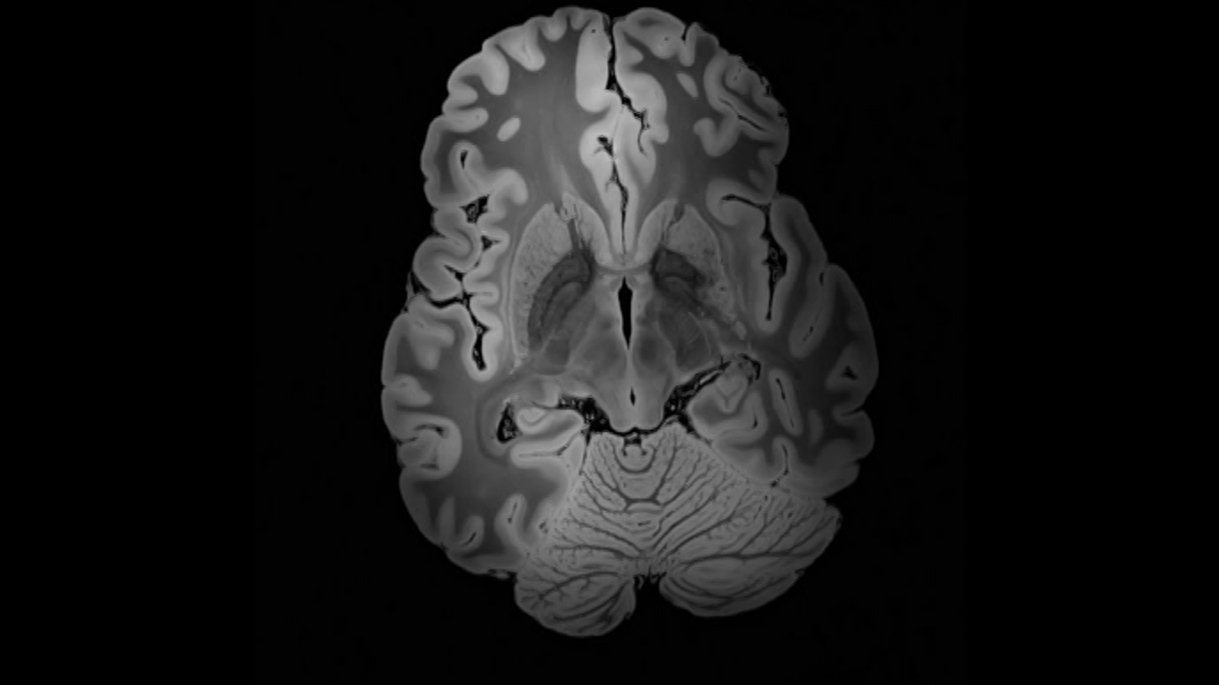
El Barcelona Beta Brain Research Center de la Fundación Pasqual Maragall es un centro dedicado a la investigación del Alzheimer. Miles de personas participan en el estudio Alfa, que pretende conocer los factores de riesgo y los indicadores biológicos que podrían incidir en el desarrollo de ésta enfermedad. Entrevistamos a Jordi Camí, director de la Fundación Pascual Maragall y del Parque de Investigación Biomédica de Barcelona. En la segunda parte vemos cómo la empresa ARISTON y la Universidad de Copenhague han conseguido el reto de construir una casa climatizada en Groenlandia que facilite el trabajo de los investigadores.

Ficha técnica
Géneros
Información y actualidad, Ciencia y futuro
Idiomas
Castellano
Accesibilidad
Subtitulado