La noche temática - Mi cerebro musical -  ver ahora
La noche temática  Mi cerebro musical

Gracias a una investigación llevada a cabo por el neurocientífico, Daniel Levitin junto con el cantante y compositor Sting, estamos más cerca de...

Disponible hasta: 22-07-2018

07/07/2018 00:50:03
No recomendable para menores de 12 años
La noche temática - Mi cerebro musical La noche temática - Mi cerebro musical
Mi cerebro musical 00:50:03 07/07/2018

Disponible hasta: 22-07-2018 23:58:00

No recomendable para menores de 12 años Sub
Sinopsis

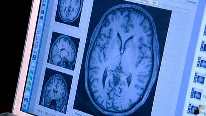
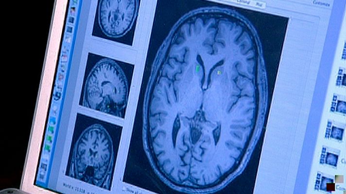
Gracias a una investigación llevada a cabo por el neurocientífico, Daniel Levitin junto con el cantante y compositor Sting, estamos más cerca de entender cómo trabaja el cerebro de un músico. Cómo se generan hormonas y conexiones neuronales que dan pie a la composición y la ejecución musical.

Contenido disponible hasta el 22 de julio de 2018.

Histórico de emisiones:

05/11/2016

Ficha técnica
Dirigido por
Emilia Rodríguez Fernández
Géneros
Información y actualidad
Idiomas
Castellano
Accesibilidad
Subtitulado