La aventura del saber las amebas de vida libre La Laguna Universidad Responde crue #AventuraSaberUResponde
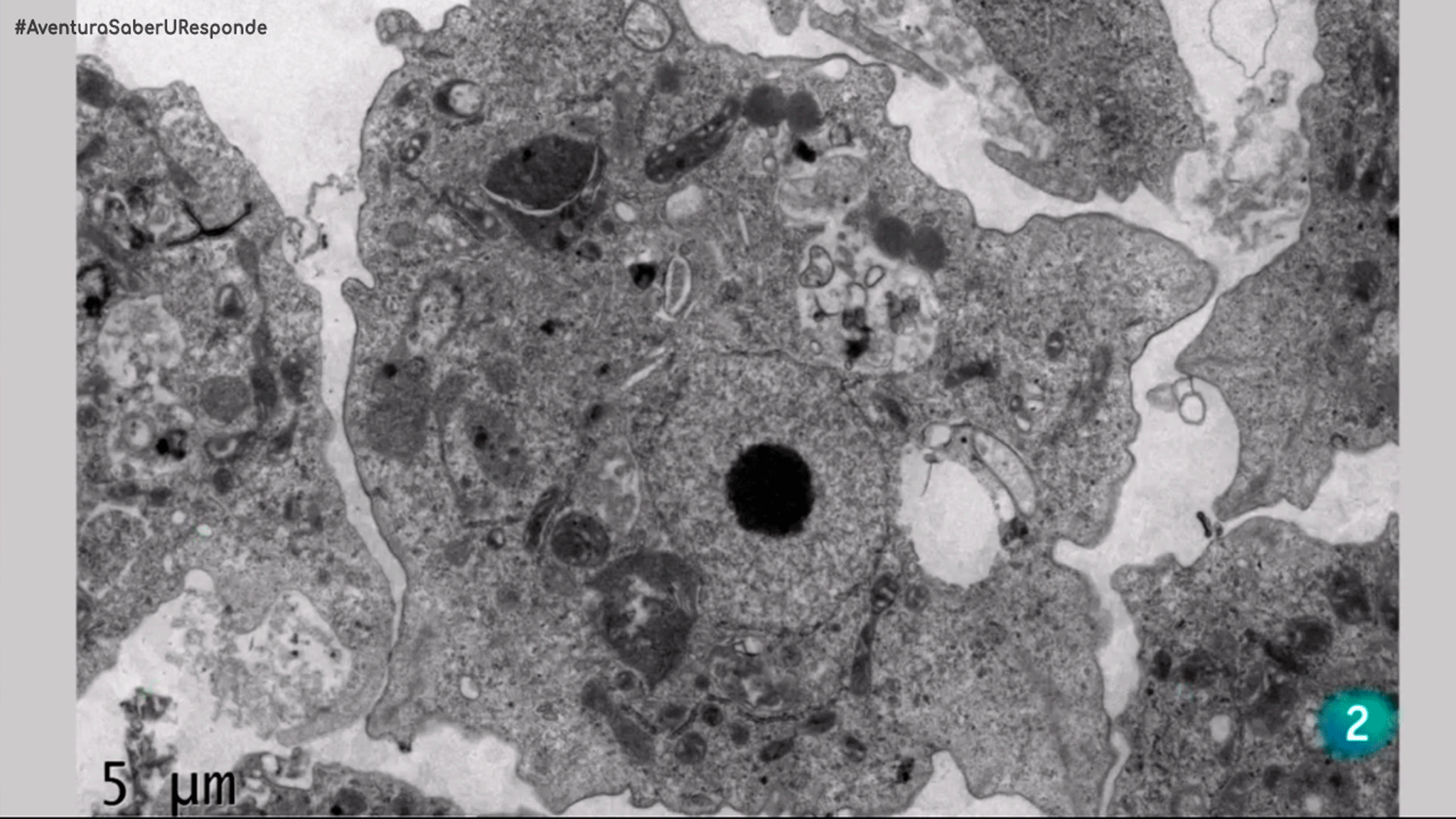
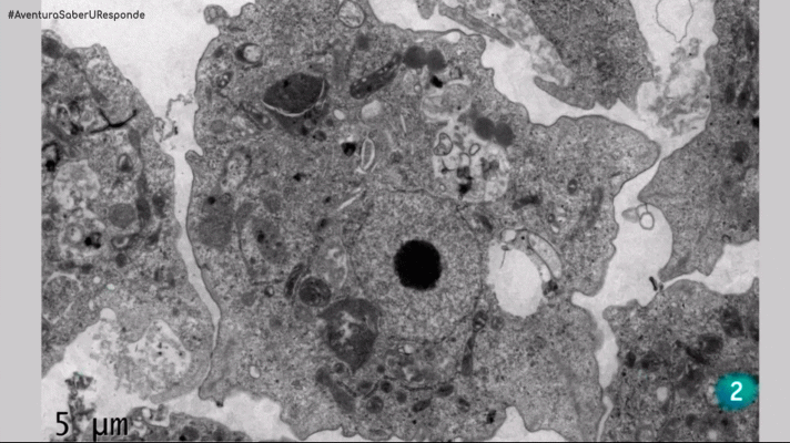
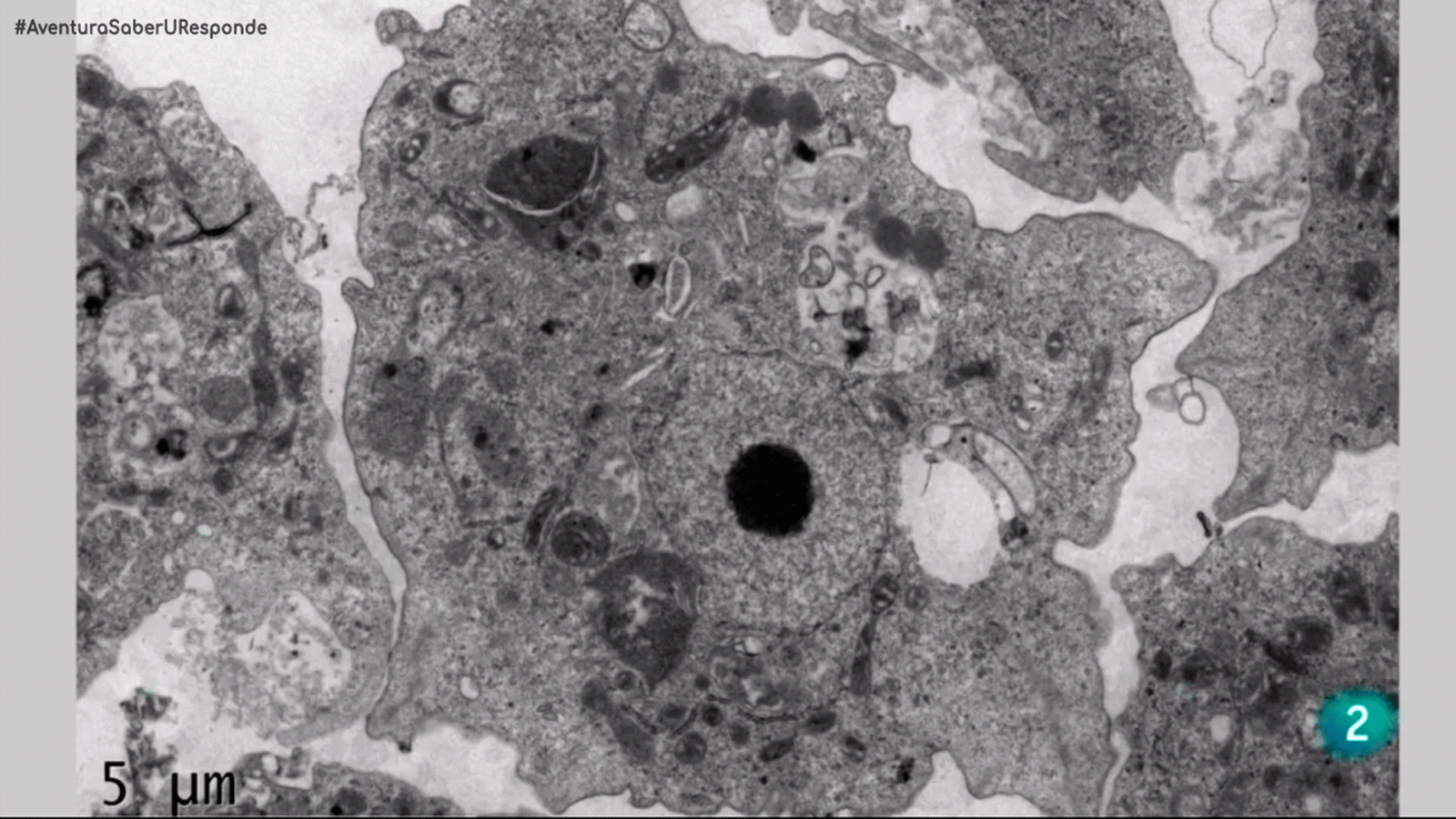
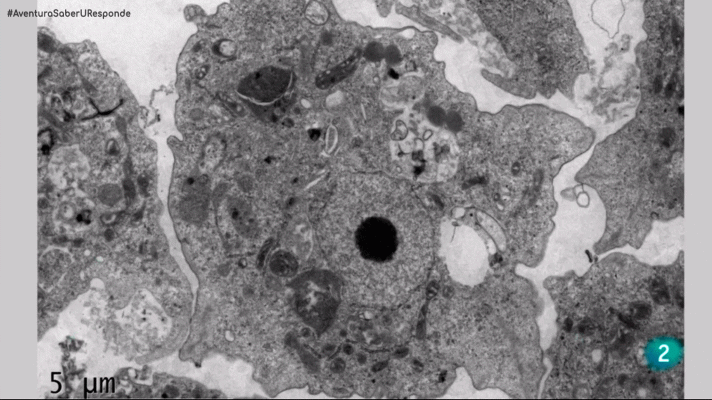
La aventura del Saber  ¿Qué son las amebas de vida libre?

¿Qué son las amebas de vida libre? Universidad de La Laguna. La Universidad Responde.

Disponible hasta: 21-02-2222

06/05/2021 00:00:47
Recomendable para todos los públicos
La aventura del Saber - ¿Qué son las amebas de vida libre? La aventura del Saber - ¿Qué son las amebas de vida libre?
¿Qué son las amebas de vida libre? 00:00:47 06/05/2021

Disponible hasta: 21-02-2222 23:00:00

Recomendable para todos los públicos
Sinopsis

¿Qué son las amebas de vida libre? Universidad de La Laguna. La Universidad Responde.

Ficha técnica
Géneros
Servicio Público
Idiomas
Castellano