Nuevos avances para detectar el Alzehimer - Ciencia y tecnología en Rtve.es | Ver
Ciencia y tecnología en Rtve.es  Nuevos avances sobre el Alzheimer

Nuevos avances sobre el Alzheimer

26/11/2009 00:01:24
Ciencia y tecnología en Rtve.es - Nuevos avances sobre el Alzheimer Ciencia y tecnología en Rtve.es - Nuevos avances sobre el Alzheimer
Nuevos avances sobre el Alzheimer 00:01:24 26/11/2009
Sinopsis

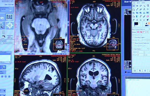
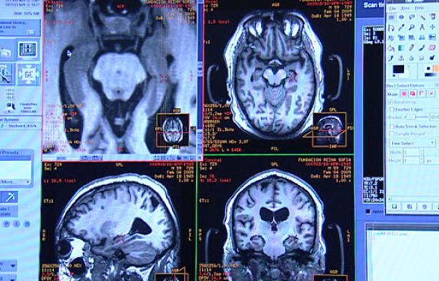
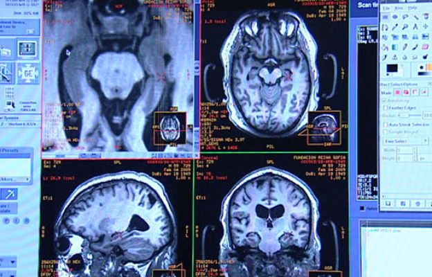
Descubrir cómo surge el alzheimer es unos de los retos de los investigadores. Al biochip que detecta precozmente la enfermedad, se une ahora una nueva técnica que utiliza potentes resonancias magnéticas. Esta técnica se va a probar en 700 personas que serán examinadas durante años.

Ficha técnica
Géneros
Ciencia y futuro
Idiomas
Castellano