Vacuna contra el tumor cerebral
Ciencia y tecnología en Rtve.es  Vacuna contra el tumor cerebral

Vacuna contra el tumor cerebral

24/11/2009 00:01:11
Ciencia y tecnología en Rtve.es - Vacuna contra el tumor cerebral Ciencia y tecnología en Rtve.es - Vacuna contra el tumor cerebral
Vacuna contra el tumor cerebral 00:01:11 24/11/2009
Sinopsis

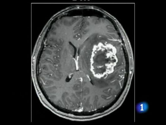
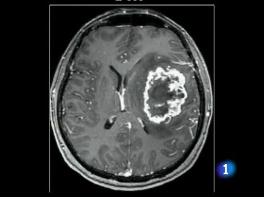
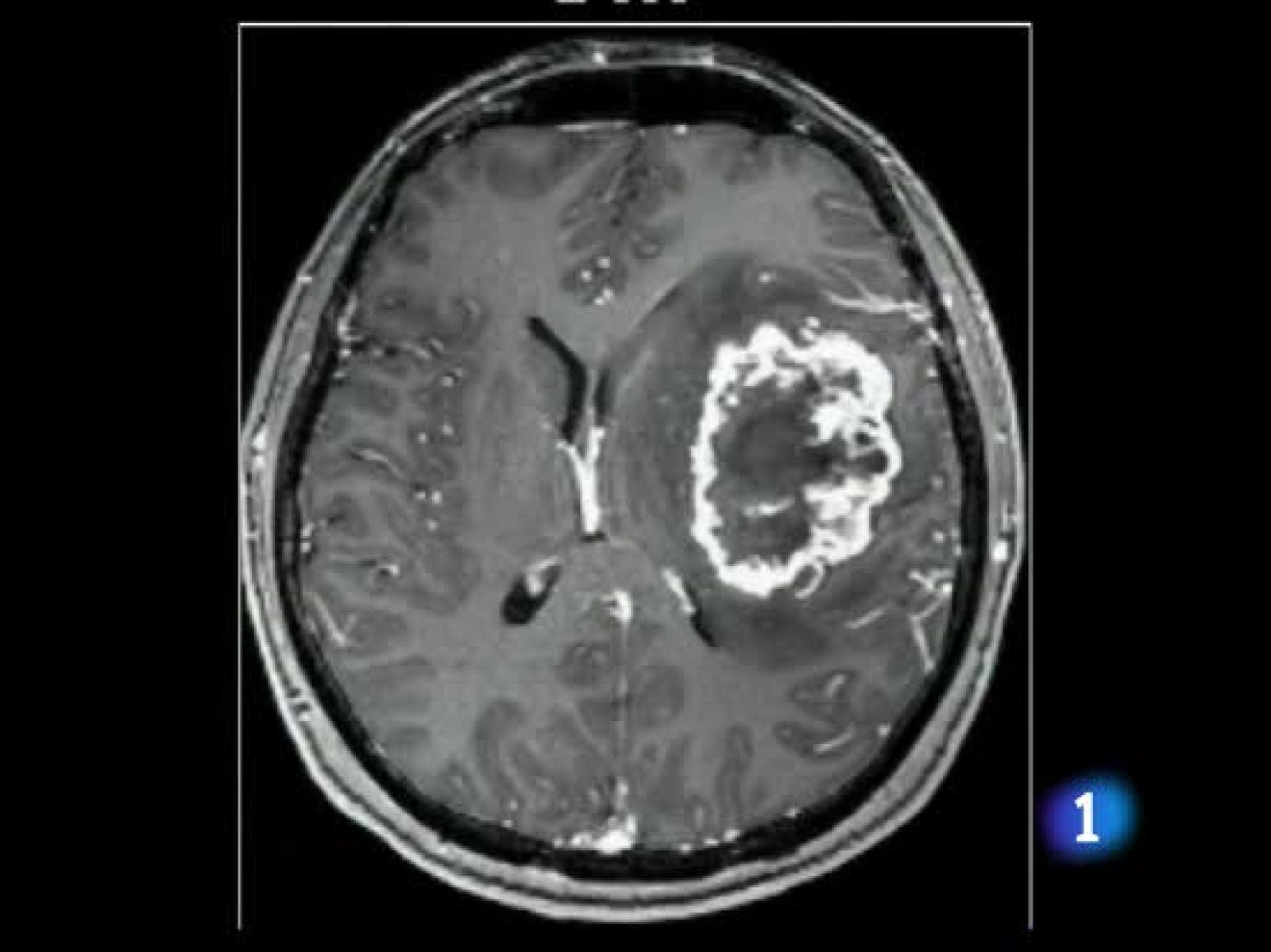
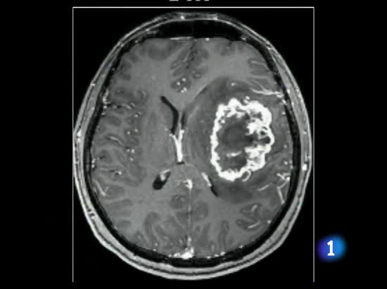
Se trata de una vacuna personalizada cuyo objetivo es evitar que se reproduzca el tumor alargando la vida de los enfermos. El ensayo lo ha puesto en marcha la Clínica Universitaria de Navarra.

Ficha técnica
Géneros
Ciencia y futuro
Idiomas
Castellano