Enlaces accesibilidad
Salut

Un fàrmac, en fase inicial, obre la porta a reduir la metàstasi del càncer de mama

  • Demostren que una proteïna terapèutica desenvolupada a Vall d'Hebron és capaç d'aturar el càncer de mama metastàtic
  • Omomyc, que inhibeix el gen MYC, s'ha provat en diversos experiments amb resultats positius
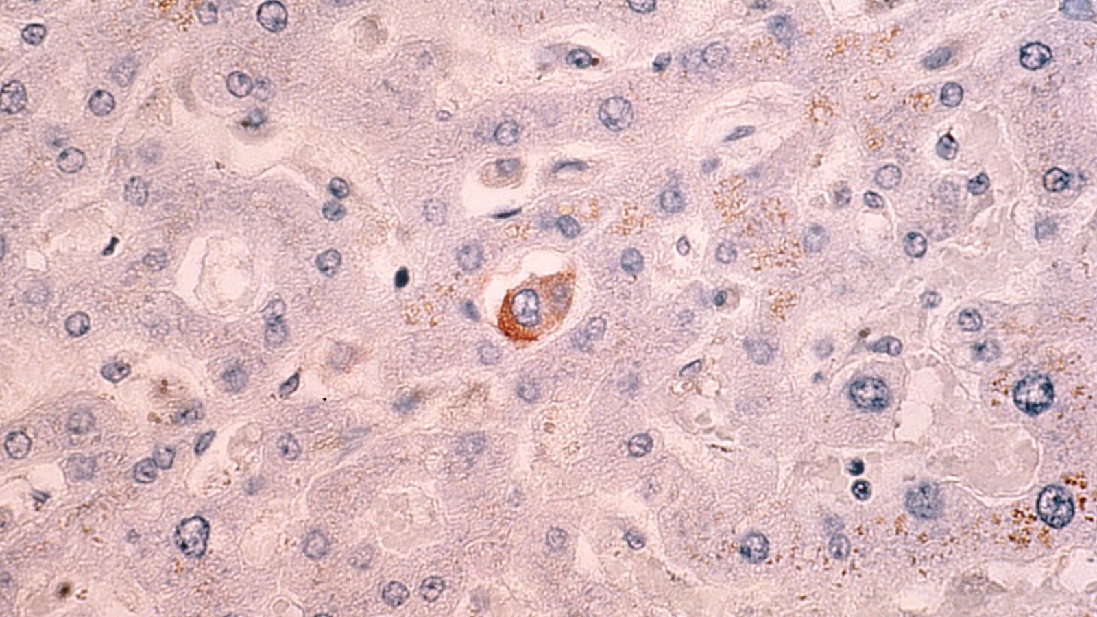
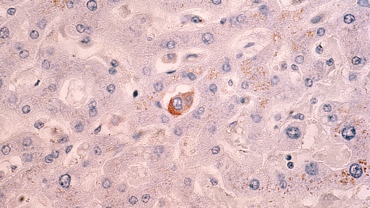
Cèl·lula maligna de càncer de mama circulant dins dels sinusoides hepàtics
RTVE Catalunya

Els investigadors de la Vall d’Hebron Institut d'Oncologia (VHIO) demostren que una proteïna terapèutica desenvolupada a Vall d'Hebron és capaç d'aturar el càncer de mama metastàtic. Es tracta de l'Omomyc, que inhibeix un oncogen, i s'ha provat en diversos experiments en fase preclínica amb resultats positius. L'estudi ha estat publicat a Cancer Research Communications, de l'Associació Americana de Recerca del Càncer.

Els assajos de la proteïna terapeutica, Omomyc, desenvolupada al Vall d'Hebron Institut d'Oncologia (VHIO) i a la spin-off Peptomyc, ha demostrat per primera vegada que és capaç d'aturar el càncer de mama metastàtic. 

Un càncer amb pitjor pronòstic

És el càncer de mama amb pitjor pronòstic, el metastàtic, i fa temps que se sap que l'oncogen, el gen MYC té una funció important en el desenvolupament de molts tipus de tumors, però hi ha certa controvèrsia sobre com pot afectar el desenvolupament de les metàstasis i alguns estudis suggereixen fins i tot que inhibir-lo podria potenciar-la.

Ara, els investigadors del VHIO han analitzat l'eficàcia de l'Omomyc, patentat pel laboratori del Vall d'Hebron Institut d'Oncologia. D'aquesta manera, han vist com aquesta proteïna terapèutica inhibeix el gen MYC, amb resultats molt positius tant en models in vitro com in vivo, en ratolins.

És un fàrmac eficaç per bloquejar la invasió, l'establiment i el creixement de les metàstasis en el càncer de mama

"Fins ara havíem demostrat que Omomyc era eficaç controlant molts tumors primaris. Ara, a més, hem vist que també és un fàrmac eficaç per bloquejar la invasió, l'establiment i el creixement de les metàstasis en el càncer de mama", afegeix la doctora Laura Soucek, codirectora de Recerca Translacional i Preclínica i cap del Grup de Modelització de Teràpies Antitumorals del VHIO.

Ara els investigadors han començat a provar el fàrmac en pacients amb metàstasi, i per això, encara es troba en una fase molt inicial, que va començar el maig de l'any passat al VHIO.

Provar-lo en la fase avançada del càncer, la clau

Ara bé, totes les recerques fetes fins ara amb aquest fàrmac s'han centrat en tumors primaris i encara no se n'havia provat l'eficàcia contra la malaltia metastàtica. "Alguns estudis suggerien que MYC podia exercir una funció antimetastàtica, per la qual cosa inhibir-lo podria ser perjudicial. Però les dades que hem obtingut en la nostra recerca mostren tot el contrari", apunta el doctor Daniel Massó, investigador de Peptomyc i primer autor de l'article, en declaracions recollides pel VHIO.

L'Omomyc és capaç de fer que el tumor primari creixi menys

Per comprovar els resultats de la teràpia s'han fet servir diferents models i tècniques d'imatge que permeten mesurar el desenvolupament dels tumors.

En Línia - La lluita contra el càncer

"Hem vist que en ratolins modificats genèticament, Omomyc és capaç de fer que el tumor primari creixi menys, però també hem observat que impacta en el creixement de les metàstasis i en alguns casos les fa desaparèixer. Quan hem administrat Omomyc per via intravenosa, els resultats també han estat positius, ja que hem vist que es produïa una disminució del creixement del tumor i que s'allargava significativament la supervivència dels ratolins", afirma el primer signant de l'estudi.

Potencial per al tractament de pacients

Malgrat que la recerca encara no s'ha dut a terme amb pacients, el treball del VHIO també ha volgut analitzar la possible repercussió de l'aplicació d'Omomyc. Per això els investigadors han analitzat bases de dades de pacients i han pogut comprovar que les dones amb càncer de mama que presentaven sobreexpressió dels gens que bloqueja Omomyc tenien una supervivència més baixa. "Això ens fa ser optimistes i pensar que, si aquestes pacients es tractessin amb el nostre fàrmac, potser podríem millorar-ne la supervivència", diu el doctor Massó.

El càncer de mama és el tumor més freqüent en dones. Es calcula que aproximadament 1 de cada 8 el patirà.