Investigadores han conseguido devolver la visión a pacientes con enfermedades maculares usando células madre derivadas del epitelio pigmentario retinal (EPR). Los resultados provienen de dos ensayos clínicos con resultados positivos a largo plazo dados a conocer por Advanced Cell Technology, sobre 18 pacientes en Estados Unidos y tras al menos seis meses de seguimiento tras el trasplante.
- Son personas expuestas a contagiarse y que no se infectan
- Han conseguido desvelar el proceso del organismo para defenderse
- Podría ser fundamental para desarrollar una vacuna contra el VIH
- Los investigadores han descubierto dos mutaciones de genes
- Eran resistentes a los tratamientos y las células cancerosas crecían
- Probaron en ratones un tratamiento contra ambas mutaciones
- Es la primera evidencia de seguridad a largo plazo con células madre
- Son resultados de dos ensayos clínicos publicados en The Lancet
- Los pacientes recuperaron la visión y la mantenían a largo plazo
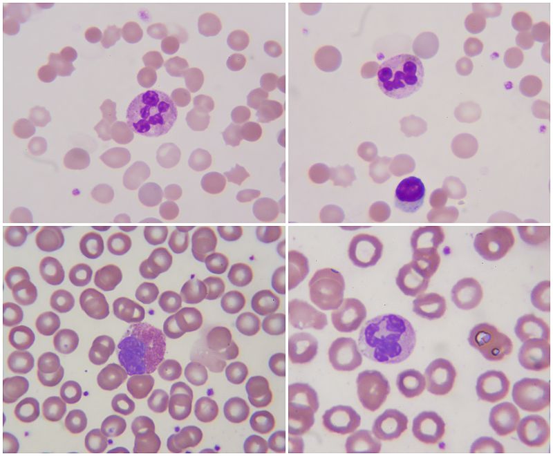
- Hay dos tratamientos: trasplante de médula o nuevos fármacos
- A partir de ahora será más fácil recomendar el tratamiento adecuado
- La leucemia linfática es el 30-40% del total de leucemias
- Pertenece a un instituto investigador sin ánimo de lucro de Estados Unidos
- La científica Erica Ollmann Saphire lleva años avanzando en el ébola
- Necesita comprar equipación y contratar personal ante la avalancha de muestras
- Los más avanzados están en fase I de ensayos clínicos
- Según la duración habitual, les faltaría entre cinco y ocho años de investigación
- Algunos laboratorios están recibiendo fondos extra para acelerar sus estudios
- Consulta la recopilación de algunos fármacos y vacunas en desarrollo
El hospital Vall d'Hebron de Barcelona es el único del mundo que lo hace en la semana 20 de gestación, mucho antes de lo habitual.
- Cree que el servicio público de salud español sabe "lo que debe hacer"
- Aconseja aislamiento, control de la temperatura e información a la población
- El epidemiólogo estadounidense descubrió el virus en 1976
- La OMS no descarta más casos de contagio en Europa
- Son variantes genéticas encontradas en más de 250.000 personas
- Conocer estos genes permitiría entender la genética de enfermedades
- El estudio, de cientos de investigadores, se publica en Nature Genetics
Una mujer sueca de 36 años se ha convertido en la primera mujer del mundo en dar a luz a un bebé tras recibir un trasplante de útero. Lo recibió de una mujer menopáusica. Fue en septiembre en un parto por cesárea.
- Hasta ahora se sabía que se transmitió de monos a humanos en 13 ocasiones
- Un equipo internacional de científicos ha analizado 800 muestras del virus
- Es una enfermedad autoinmune que puede afectar a distintos órganos
- Los pacientes con lupus tienen más microorganismos de un tipo
- Se podría modificar su contenido con una intervención dietética
El investigador Pedro Alonso, director del Instituto de Salud Global de Barcelona, encabeza un programa que pretende erradicar la malaria en la provincia de Maputo, en el sur de Mozambique.
- Investigadores españoles han reconducido células al tejido cardiaco
- La terapia pasaría por inyectar estas células en la zona dañada
- Próximamente se harán ensayos en vivo con animales
- Han reducido el desarrollo de tumores y la inflamación del colon
- Ha realizado las pruebas con ratones murinos
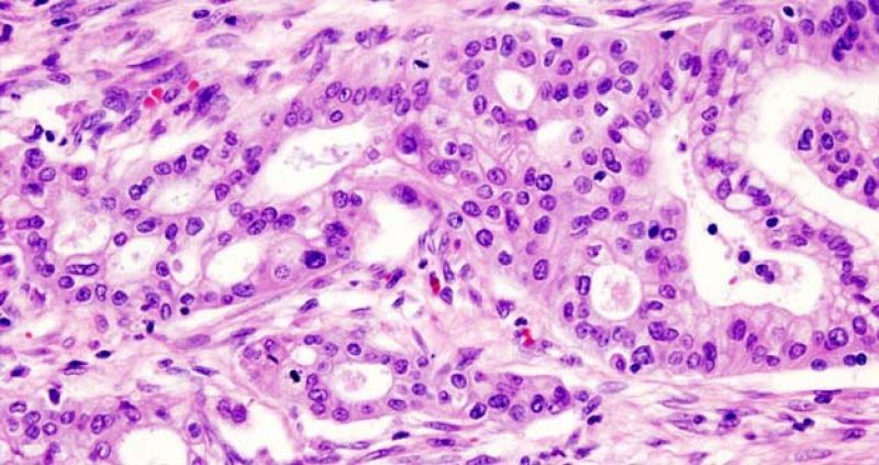
- Las proteínas son posibles dianas terapéuticas para tratar este cáncer
- Tienen una fluorescencia verde fruto de una vitamina
- El marcador identifica las células madre tumorales más invasivas
- La luminosidad puede permitir el desarrollo de nuevos fármacos
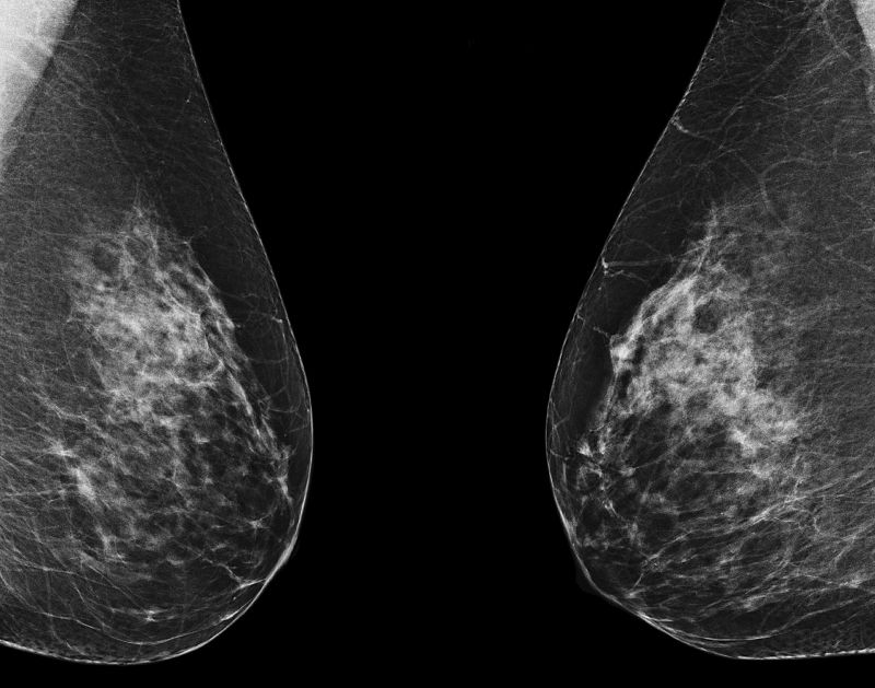
- Se trata del HER2 positivo con metástasis, según recoge el estudio Cleopatra
- En esta investigación han participado un total de 250 centros de 19 países
- La supervivencia global ha pasado de una mediana de 40,8 meses a 56,5
- Es un cuestionario que complementa las pruebas radiológicas
- Mide dolores como la migraña crónica y la cefalea tensional crónica
- Valora de forma fiable los síntomas de cada una de las dolencias
- Las lentillas protegen de la luz violeta y azul en la retina
- Son una barrera para que la luz que daña no llegue al fondo del ojo
- Habrá disponibles lentillas con y sin graduación para los usuarios