Según los expertos, será la segunda causa de muerte por cáncer en 2020. Por ello, pacientes y médicos piden más investigación para el diagnóstico precoz y mejorar la esperanza de vida de estos pacientes.
- Ocho responsables de la cadena dental declaran en un juzgado de Majadahonda
- Niegan tener conocimiento de la existencia de una "caja" o contabilidad "B"
- Las operaciones se hacían mediante transferencias bancarias y de forma regular
El hombre más obeso de España, un joven de 29 años que este año ha llegado a pesar más de 300 kilos, se ha sometido este lunes a un baipás gástrico por laparoscopia en el hospital La Inmaculada de Granada, con instrumental e infraestructura especiales, para poder adelgazar 200 kilos. La técnica permitirá que Juan Manuel Heredia, un joven de 29 años vecino de Algeciras (Cádiz), adelgace 200 kilos en un plazo aproximado de entre 18 y 24 meses. La intervención se ha realizado en el centro laparoscópico del doctor Carlos Ballesta del citado hospital, especializado en estos tratamientos y con más de 3.000 enfermos operados anuales; es el único de estas características en Andalucía, que también realiza estas cirugías en Madrid y Barcelona.
- Las donaciones han descendido un 6,68% en los últimos cinco años
- Por regiones, lideran el ranking Extremadura, Castilla y León y Asturias
Pasar mucho tiempo en las ciudades puede provocar alteraciones del comportamiento, sobre todo en los más pequeños. Es lo que algunos psicólogos llaman ‘trastorno por déficit de naturaleza’. No es una enfermedad reconocida, pero los especialistas recomiendan el contacto con ella cuanto antes para evitarlo.
Se encuentra en las playas y lagunas de Río de Janeiro y los científicos llevan advirtiendo de ella desde hace años. Se trata de una superbacteria que amenaza a la salud pública por ser resistente a los antibióticos y se deriva de los desechos de hogares y hospitales.
Una pizza cruda, sin queso y sin jamón. Los crudiveganos comen solo vegetales frescos y no usan horno ni sartén. Los expertos reconocen los beneficios de estos productos y dietas alternativas, pero alertan: “La buena nutrición se tiene que acompañar de diferentes grupos de alimentos”
Cada año se diagnostican en España 29.000 nuevos casos. Aún así, el cáncer de próstata sigue siendo un gran desconocido, el pudor o la incertidumbre impide a la gran mayoría acudir a la consulta del urólogo. En el Día Mundial del Cáncer de Próstata, distintas asociaciones piden más fondos para investigación y animan a los hombres a perder el miedo a ir al médico.
- Han querido apoyar su acto simbólico en una base científica
- Explican que el antepié tiene una función dinámica, no de soporte
- Denuncian que es grave llevar tacones en jornadas laborales completas
El Ciudadano García entrevista a Elena García, investigadora del CSIC y creadora del exoesqueleto para niños con atrofia muscular espinal, una enfermedad degenerativa que afecta a uno de cada 10.000 niños nacidos en España (09/06/16).
El verano se ha metido ya de lleno y, como hemos visto, el refugio para los más afortunados que viven cerca del mar es la playa.
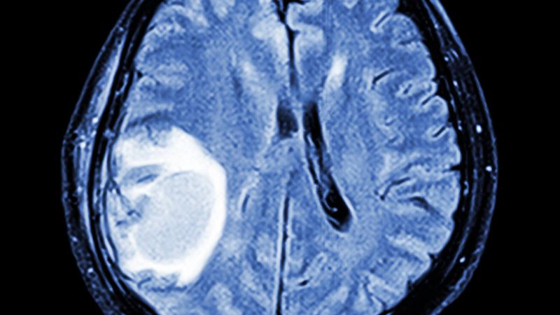
Nos interesamos por un nuevo sistema para operar tumores cerebrales considerados inoperables porque afectan a áreas funcionales. Nos los explica el doctor Juan Antonio Barcia, jefe del servicio de Neurocirugía del hospital Clínico San Carlos de Madrid, que lidera el equipo que ha probado con éxito este innovador (09/06/16).
Es un caso único en el país, que mezcla la muerte, la vida y los avances médicos.
Cuatro momias del Museo Arqueológico Nacional que han salido de sus vitrinas para someterse a un estudio radiológico de alta resolución. Un TAC que proporcionará a los científicos una valiosísima información, y que formará parte de un documental coproducido por Tve.
- Según los datos de la Organización Nacional de Trasplantes (ONT)
- Por la colaboración con médicos de urgencias y los donantes en parada cardíaca
- Se han registrado 100 donantes más que en el mismo período de 2015
Por ejemplo, Corea del Sur podría desfilar en la jornada inaugural con un traje de protección especial contra el zika. Desde la Organización Mundial de la Salud, llaman a extremar las precauciones, pero sin caer en el alarmismo. Los médicos que solicitaron a la OMS el aplazamiento de los juegos o el cambio de sede, insisten. El riesgo para los olímpicos, existe. "Cuando vuelvan a casa, levarán con ellos el virus", asegura Amir Attaram, uno de los impulsores de la iniciativa. Los comités olímpicos, entre ellos el español, dan libertad a sus deportistas para acudir o no a Río. Si ayer Pau Gasol aseguraba que no tiene claro ir por su temor al zika. El problema radica en la relación del zika con el incremento de la microcefalia fetal. Y el riesgo de transmisión del virus por vía sexual. De momento, el COI repartirá 450.000 preservativos entre los 10.500 deportistas y técnicos que tienen previsto acudir a los juegos.
- La cobertura del tratamiento contra el VIH aumentó a nivel global
- Aumento sobre todo en la región más afectada, el sur y este de África
- La reducción de la mortalidad ha sido mayor entre las mujeres
Hablamos del sonambulismo con el doctor Juan Pareja Grande, responsable de la Unidad del sueño del Hospital Universitario Quirón de Madrid y de la Clínica Ruber Juan Bravo. "El sonambulismo consiste en desplegar una conducta automática, sin consciencia ni memoria, es decir, se despierta el cuerpo pero no la mente", ha explicado el doctor Pareja Grande, que advierte: "La conducta que se va a desplegar es impredecible, inesperada e incluso problemática". El sonambulismo predomina en la infancia y la adolescencia y se va disipando en la edad adulta (30/05/16).
Ahora que llega el verano llegan también las fórmulas para cambiar los hábitos alimenticios. Esta vez de la mano de un ‘coach’, una nueva tendencia que lleva el nombre de ‘Foodcoaching’. Difícil hacer trampas porque en todo momento se tiene la compañía de un profesional.
- Este martes se celebra el Día Sin Tabaco
- El 23,9% de la población española fuma, según la Socidrogalcohol
- Reclaman nuevas medidas para reducir su consumo