- La autofagia es un proceso que utilizan las células para eliminar y reciclar partes dañadas
- Este hallazgo podría utilizarse como táctica de reducción de tumores y metástasis
Cada año se diagnostican en España 1.000 casos de leucemia linfatica crónica. Un equipo de investigadores españoles ha identificado los genes que mutan para provocar este tipo de leucemia, la más frecuente en el mundo desarrollado. Los resultados los publica la revista 'Nature'.
- Son parte de un equipo que ha hecho el catálogo genético de esta enfermedad
- Identifican 60 genes claves cuyas mutaciones provocan el desarrollo del tumor
- En España se diagnostican más de mil casos nuevos al año de esta leucemia
Charlamos con María Blasco, la directora del Centro Nacional de Investigaciones Oncológicas (CNIO). Con ella analizamos la situación de la investigación en España, descubrimos los últimos avances en la lucha contra el cáncer y situamos la investigación española en un contexto global (22/07/15).
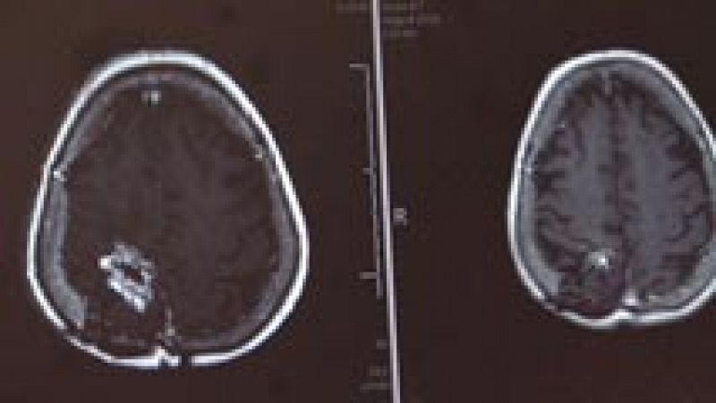
Un estudio español ha demostrado la eficacia de un fármaco contra los glioblastomas, el segundo tumor más agresivo tras el de páncreas y que afecta a uno de cada 100 mil habitantes. En algunos casos, el tratamiento logró reducir el tumor hasta un 85%.
Charlamos con María Blasco, la directora del Centro Nacional de Investigaciones Oncológicas (CNIO). Con ella analizamos la situación de la investigación en España, descubrimos los últimos avances en la lucha contra el cáncer y situamos la investigación española en un contexto global (22/07/15).
Un estudio español ha demostrado la eficacia de un fármaco contra los glioblastomas, el segundo tumor más agresivo tras el de páncreas y que afecta a uno de cada 100 mil habitantes. En algunos casos, el tratamiento logró reducir el tumor hasta un 85%.
- La biopsia líquida requiere únicamente un análisis de sangre
- Se analizan ciertos biomarcadores para usar terapias más efectivas
- El Hospital Vall d'Hebron de Barcelona ha codirigido la investigación
- Cuando llegan las vacaciones nos apetece tumbarnos en la playa y broncearnos
- Hay dos tipos de cáncer relacionados con el sol: el epitelioma y el melanoma
El amianto es un material prohibido en España hace ya 14 años debido a su elevada toxicidad. Se calcula que cada año mueren en el mundo unas 100.000 personas por un tipo de cáncer (meso-telioma) contraído por el contacto con ese material, utilizado durante mucho tiempo en la construcción. Una treintena de organizaciones sociales, sindicales, políticas y médicas han alertado sobre el grave problema que, a día de hoy, sigue suponiendo el amianto, y la desprotección que sufren las víctimas. Hablamos con Paco Segura, coordinador estatal de Ecologistas en Acción (03/07/15).
- Científicos del CNIO han descubierto la causa de la fibrosis pulmonar
- Agresiones como fumar, la polución o la radiación provocan fibrosis
- Por primera vez se ha relacionado el acortamiento de los telómeros a esta enfermedad
- Es una tecnología de detección electroquímica de biomarcadores de cáncer
- Permitirá crear tratamientos adaptados a las necesidades de cada paciente
- Los creadores, de una empresa vasca, aún están desarrollando la tecnología
Un nuevo fármaco para un tipo de cáncer de mama ataca solo a las células cancerígenas y mejora la supervivencia y la calidad de vida de las pacientes con metástasis. El medicamento se ha probado en más de 600 enfermas de toda España.
- Es un anticuerpo monoclonal que lleva la quimio al interior de la célula
- Evita los efectos adversos de la quimioterapia al actuar de forma selectiva
- Solo está autorizado su uso en pacientes con la enfermedad metastásica
- Creen que el lindano provoca el linfoma no Hodgkin según estudios consultados
- El DDT puede reprimir el sistema inmune y afectar las hormonas sexuales
- Son herbicidas prohibidos en casi todo el mundo, aún presentes en el medio ambiente
- Creen que las hormonas del tratamiento afectan a la progresión del cáncer
- La resistencia a la terapia podría deberse a un grupo de células
- La hormona prolactina impidió la expansión de esas células en ratones
- Entre un 9% y un 30% de pacientes tratados tienen disfunción cardíaca
- La toxicidad se puede detectar con ecografías y biomarcadores
- Los cardiólogos instan a controlar la tensión arterial en pacientes con cáncer
- Han publicado un vídeo con testimonios de benefactores de la investigación
- El CNIO busca prevenir el desarrollo del cáncer y desarrollar ensayos clínicos
- Afirman que la investigación consigue que el 50% de pacientes sobreviva
- Contribuirá a desarrollar nuevas estrategias de diagnóstico tumoral
- El método soluciona errores que impiden tener información cuantitativa
- La UGR y el centro Genyo colaboran para crear esta plataforma
Un equipo de la Universidad de Cambridge ha rodado por primera vez en 3D cómo las células de nuestro sistema inmunológico destruyen a diario células cancerígenas. Una auténtica batalla microscópica contra los tumores, que por primera vez se puede ver en imágenes.